USMLE STEP3 Exam (page: 12)
USMLE Step3
Updated on: 15-Feb-2026

Viewing Page 12 of 162

A22-year-old male presents to an acute care clinic in order to have two genital lesions evaluated. He first noticed the lesions about 2 weeks ago, but delayed seeking medical care because he believed they were harmless due to the lack of any discomfort. He states that he does engage in unprotected sexual intercourse, with the most recent time being 1 month ago. On examination, the glans penis features two distinct nontender papules with elevated edges surrounding ulcerated craters. They each measure 1 cm in diameter. There is also nontender bilateral inguinal lymphadenopathy.

Which of the following is true about this patient's condition?

  1. The causative agent is a virus.
  2. Light microscopy of fluid from the lesions will reveal gram-negative rods in chains.
  3. The presence of multiple distinct lesions is uncommon.
  4. There is a latent phase in which patients are asymptomatic.
  5. Although associated with persistent symptoms if left untreated, it does not carry a significant risk for mortality.

Answer(s): D

Explanation:

This patient's presentation is consistent with primary syphilis. Primary syphilis manifests itself usually in the form of solitary or multiple raised, firm papules which eventually erode to form ulcerative craters with raised, indurated margins surrounding the centralized ulcer. These lesions, called chancres, most commonly involve the glans penis in males and the vulva or cervix in females, although they may appear rarely in other areas. Syphilis is caused by the spirochete, T. pallidum, which can be visualized by darkfield microscopy, by silver stain, or by fluorescent antibody microscopy. There is an incubation period of approximately 3 weeks separating the time of initial exposure to T. pallidum and the time of chancre formation. Syphilis is characterized by the presence of latent stages in which there are no signs of clinical disease present. Penicillin is the drug of choice for the treatment of syphilis. In addition to treating patients with diagnosed syphilis, it is recommended that treatment also be administered to all sexual contacts of the past 90 days. It has been demonstrated that up to 30% of asymptomatic sexual contacts of patients with infectious lesions within the past 30 days go on to develop syphilis if left untreated. If left untreated, patients may ultimately develop tertiary syphilis characterized by significant destructive neurologic and cardiovascular symptoms. The mortality rate for untreated tertiary syphilis is approximately 20%.

Cephalosporins and penicillin antibiotics act by interfering with the late stages of bacterial cell wall synthesis, although the precise biochemical reactions are not entirely understood. Peptidoglycan provides mechanical stability to the cell wall because of its high degree of cross-linking with alternating amino pyranoside sugar residues (N-acetylglucosamine and N-acetylmuramic acid). The completion of the cross- linking occurs by the action of the enzyme transpeptidase. This transpeptidase reaction, in which the terminal glycine residue of the pentaglycine bridge is joined to the fourth residue of the pentapeptide (D- alanine) thereby releasing the fifth residue (D-alanine), is inhibited by beta- lactams.



A22-year-old male presents to an acute care clinic in order to have two genital lesions evaluated. He first noticed the lesions about 2 weeks ago, but delayed seeking medical care because he believed they were harmless due to the lack of any discomfort. He states that he does engage in unprotected sexual intercourse, with the most recent time being 1 month ago. On examination, the glans penis features two distinct nontender papules with elevated edges surrounding ulcerated craters. They each measure 1 cm in diameter. There is also nontender bilateral inguinal lymphadenopathy.

The drug of choice for treating this patient works by which of the following mechanisms?

  1. interfering with protein synthesis at the ribosome
  2. attaching to sterols in cell membranes
  3. inhibiting bacterial cell wall synthesis
  4. inhibiting the transport of amino acids into bacteria
  5. inhibiting dihydrofolate reductase

Answer(s): C

Explanation:

This patient's presentation is consistent with primary syphilis. Primary syphilis manifests itself usually in the form of solitary or multiple raised, firm papules which eventually erode to form ulcerative craters with raised, indurated margins surrounding the centralized ulcer. These lesions, called chancres, most commonly involve the glans penis in males and the vulva or cervix in females, although they may appear rarely in other areas. Syphilis is caused by the spirochete, T. pallidum, which can be visualized by darkfield microscopy, by silver stain, or by fluorescent antibody microscopy. There is an incubation period of approximately 3 weeks separating the time of initial exposure to T. pallidum and the time of chancre formation. Syphilis is characterized by the presence of latent stages in which there are no signs of clinical disease present. Penicillin is the drug of choice for the treatment of syphilis. In addition to treating patients with diagnosed syphilis, it is recommended that treatment also be administered to all sexual contacts of the past 90 days. It has been demonstrated that up to 30% of asymptomatic sexual contacts of patients with infectious lesions within the past 30 days go on to develop syphilis if left untreated. If left untreated, patients may ultimately develop tertiary syphilis characterized by significant destructive neurologic and cardiovascular symptoms. The mortality rate for untreated tertiary syphilis is approximately 20%.

Cephalosporins and penicillin antibiotics act by interfering with the late stages of bacterial cell wall synthesis, although the precise biochemical reactions are not entirely understood. Peptidoglycan provides mechanical stability to the cell wall because of its high degree of cross-linking with alternating amino pyranoside sugar residues (N-acetylglucosamine and N-acetylmuramic acid). The completion of the cross- linking occurs by the action of the enzyme transpeptidase. This transpeptidase reaction, in which the terminal glycine residue of the pentaglycine bridge is joined to the fourth residue of the pentapeptide (D- alanine) thereby releasing the fifth residue (D-alanine), is inhibited by beta- lactams.



A22-year-old male presents to an acute care clinic in order to have two genital lesions evaluated. He first noticed the lesions about 2 weeks ago, but delayed seeking medical care because he believed they were harmless due to the lack of any discomfort. He states that he does engage in unprotected sexual intercourse, with the most recent time being 1 month ago. On examination, the glans penis features two distinct nontender papules with elevated edges surrounding ulcerated craters. They each measure 1 cm in diameter. There is also nontender bilateral inguinal lymphadenopathy. Six hours after treating this patient, he calls your office with complaints of new-onset headache, myalgia, and malaise. He also states that he felt feverish immediately prior to calling and measured his temperature, which was 99.8°F. Which of th e following is most appropriate at this time?

  1. Advise transport to the nearest ED for immediate evaluation.
  2. Advise use of acetaminophen and provide reassurance.
  3. Advise immediate use of Benadryl and then have the patient go to the nearest ED.
  4. Start treatment with levaquin.
  5. Start treatment with oral corticosteroids.

Answer(s): B

Explanation:

This patient's presentation is consistent with primary syphilis. Primary syphilis manifests itself usually in the form of solitary or multiple raised, firm papules which eventually erode to form ulcerative craters with raised, indurated margins surrounding the centralized ulcer. These lesions, called chancres, most commonly involve the glans penis in males and the vulva or cervix in females, although they may appear rarely in other areas. Syphilis is caused by the spirochete, T. pallidum, which can be visualized by darkfield microscopy, by silver stain, or by fluorescent antibody microscopy. There is an incubation period of approximately 3 weeks separating the time of initial exposure to T. pallidum and the time of chancre formation. Syphilis is characterized by the presence of latent stages in which there are no signs of clinical disease present. Penicillin is the drug of choice for the treatment of syphilis. In addition to treating patients with diagnosed syphilis, it is recommended that treatment also be administered to all sexual contacts of the past 90 days. It has been demonstrated that up to 30% of asymptomatic sexual contacts of patients with infectious lesions within the past 30 days go on to develop syphilis if left untreated. If left untreated, patients may ultimately develop tertiary syphilis characterized by significant destructive neurologic and cardiovascular symptoms. The mortality rate for untreated tertiary syphilis is approximately 20%.

Cephalosporins and penicillin antibiotics act by interfering with the late stages of bacterial cell wall synthesis, although the precise biochemical reactions are not entirely understood. Peptidoglycan provides mechanical stability to the cell wall because of its high degree of cross-linking with alternating amino pyranoside sugar residues (N-acetylglucosamine and N-acetylmuramic acid). The completion of the cross- linking occurs by the action of the enzyme transpeptidase. This transpeptidase reaction, in which the terminal glycine residue of the pentaglycine bridge is joined to the fourth residue of the pentapeptide (D- alanine) thereby releasing the fifth residue (D-alanine), is inhibited by beta- lactams.



A 26-year-old HIV-positive man is admitted to the hospital for treatment of a varicella-zoster infection. On the fourth day of treatment, he develops an acute renal insufficiency. What is the most likely treatment- related mechanism accounting for the patient's acute renal insufficiency?

  1. the formation of toxic metabolites
  2. decreased glomerular filtration rate
  3. the precipitation of acyclovir in renal tubules
  4. direct tubular cytotoxic injury
  5. hypersensitivity interstitial nephritis

Answer(s): C

Explanation:

HIV-positive patients who develop a varicella-zoster infection require aggressive antibiotic therapy. Intravenous acyclovir should be adminstered for a period of 7 days, and oral maintenance therapy should be started for secondary prophylaxis. While acyclovir is usually well tolerated, it can be nephrotoxic when given intravenously. It may crystallize within renal tubules and cause subsequent acute tubular necrosis. Acyclovir is more likely to cause nephrotoxic effects if there is associated dehydration or a preexisting renal insufficiency. Individuals who have a preexisting renal insufficiency should have the dose and frequency of acyclovir administration adjusted according to their baseline creatinine clearance.



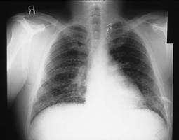
A 34-year-old amateur spelunker develops cough, dyspnea, and fever 2 weeks after a caving expedition to caves in Kentucky. On physical examination, the patient's temperature is 102°F and respiratory rate is 24. On pulmonary examination, there are diffuse crackles bilaterally. A CXR is shown in Figure

.



Which of the following is the most likely cause of disease in this patient?

  1. The patient likely developed influenza from close contact with the other members of the caving expedition.
  2. The patient likely has disseminated aspergillosis.
  3. The patient likely has miliary tuberculosis.
  4. The patient likely has acute pulmonary histoplasmosis.
  5. The patient likely has Pneumocystis jiroveci pneumonia.

Answer(s): D

Explanation:

The patient has diffuse interstitial infiltrates on CXR that correspond in time and presentation to acute inhalation histoplasmosis. This would be seen in a patient, such as an amateur spelunker, who has been in a cave with bats. It is the act of crawling through the cave that disturbs the spores of histoplasmosis that grow in the bat guano. The incubation period for influenza is 12 days. It is passed primarily by secretions from the nose spread by hands. The other members of the expedition were not sick, as they might be with influenza. Disseminated aspergillosis occurs in immunocompromised patients who have defects in both cell-mediated and humoral immunity. This patient does not have this. While the CXR could mimic military tuberculosis, the association with caving 14 days before would make tuberculosis less likely and histoplasmosis more likely. There is no history that the patient is immunocompromised with HIV and would be at risk for P. jiroveci pneumonia. Fungal serologies would establish the diagnosis, but acute and convalescent serologies would take 3 weeks for results. These are only useful in outbreak investigations. The other choices do not fit due to the reasons above. Treatment of acute respiratory histoplasmosis is based on severe hypoxia and would require arterial blood gases to establish the need for therapy. None of the fungal infections mentioned are transmissible person to person, therefore respiratory isolation would not be necessary. Histoplasmosis is a dimorphic fungus that grows as a yeast at body temperature and a mold at room temperature. The mold produces the spores that are infectious. A similar situation occurs for Cryptococcus neoformans. C. immitis and aspergillosis are not transmitted from person to person.



Viewing Page 12 of 162



Share your comments for USMLE STEP3 exam with other users:

Aish 10/11/2023 5:51:00 AM

want to clear the exam.
INDIA


Smaranika 6/22/2023 8:42:00 AM

could you please upload the dumps of sap c_sac_2302
INDIA


Blessious Phiri 8/15/2023 1:56:00 PM

asm management configuration is about storage
Anonymous


Lewis 7/6/2023 8:49:00 PM

kool thumb up
UNITED STATES


Moreece 5/15/2023 8:44:00 AM

just passed the az-500 exam this last friday. most of the questions in this exam dumps are in the exam. i bought the full version and noticed some of the questions which were answered wrong in the free version are all corrected in the full version. this site is good but i wish the had it in an interactive version like a test engine simulator.
Anonymous


Terry 5/24/2023 4:41:00 PM

i can practice for exam
Anonymous


Emerys 7/29/2023 6:55:00 AM

please i need this exam.
Anonymous


Goni Mala 9/2/2023 12:27:00 PM

i need the dump
Anonymous


Lenny 9/29/2023 11:30:00 AM

i want it bad, even if cs6 maybe retired, i want to learn cs6
HONG KONG


MilfSlayer 12/28/2023 8:32:00 PM

i hate comptia with all my heart with their "choose the best" answer format as an argument could be made on every question. they say "the "comptia way", lmao no this right here boys is the comptia way 100%. take it from someone whos failed this exam twice but can configure an entire complex network that these are the questions that are on the test 100% no questions asked. the pbqs are dead on! nice work
Anonymous


Swati Raj 11/14/2023 6:28:00 AM

very good materials
UNITED STATES


Ko Htet 10/17/2023 1:28:00 AM

thanks for your support.
Anonymous


Philippe 1/22/2023 10:24:00 AM

iam impressed with the quality of these dumps. they questions and answers were easy to understand and the xengine app was very helpful to use.
CANADA


Sam 8/31/2023 10:32:00 AM

not bad but you question database from isaca
MALAYSIA


Brijesh kr 6/29/2023 4:07:00 AM

awesome contents
INDIA


JM 12/19/2023 1:22:00 PM

answer to 134 is casb. while data loss prevention is the goal, in order to implement dlp in cloud applications you need to deploy a casb.
UNITED STATES


Neo 7/26/2023 9:36:00 AM

are these brain dumps sufficient enough to go write exam after practicing them? or does one need more material this wont be enough?
SOUTH AFRICA


Bilal 8/22/2023 6:33:00 AM

i did attend the required cources and i need to be sure that i am ready to take the exam, i would ask you please to share the questions, to be sure that i am fit to proceed with taking the exam.
Anonymous


John 11/12/2023 8:48:00 PM

why only give explanations on some, and not all questions and their respective answers?
UNITED STATES


Biswa 11/20/2023 8:50:00 AM

refresh db knowledge
Anonymous


Shalini Sharma 10/17/2023 8:29:00 AM

interested for sap certification
JAPAN


ethan 9/24/2023 12:38:00 PM

could you please upload practice questions for scr exam ?
HONG KONG


vijay joshi 8/19/2023 3:15:00 AM

please upload free oracle cloud infrastructure 2023 foundations associate exam braindumps
Anonymous


Ayodele Talabi 8/25/2023 9:25:00 PM

sweating! they are tricky
CANADA


Romero 3/23/2022 4:20:00 PM

i never use these dumps sites but i had to do it for this exam as it is impossible to pass without using these question dumps.
UNITED STATES


John Kennedy 9/20/2023 3:33:00 AM

good practice and well sites.
Anonymous


Nenad 7/12/2022 11:05:00 PM

passed my first exam last week and pass the second exam this morning. thank you sir for all the help and these brian dumps.
INDIA


Lucky 10/31/2023 2:01:00 PM

does anyone who attended exam csa 8.8, can confirm these questions are really coming ? or these are just for practicing?
HONG KONG


Prateek 9/18/2023 11:13:00 AM

kindly share the dumps
UNITED STATES


Irfan 11/25/2023 1:26:00 AM

very nice content
Anonymous


php 6/16/2023 12:49:00 AM

passed today
Anonymous


Durga 6/23/2023 1:22:00 AM

hi can you please upload questions
Anonymous


JJ 5/28/2023 4:32:00 AM

please upload quetions
THAILAND


Norris 1/3/2023 8:06:00 PM

i passed my exam thanks to this braindumps questions. these questions are valid in us and i highly recommend it!
UNITED STATES