USMLE STEP3 Exam (page: 13)
USMLE Step3
Updated on: 15-Feb-2026

Viewing Page 13 of 162

A 34-year-old amateur spelunker develops cough, dyspnea, and fever 2 weeks after a caving expedition to caves in Kentucky. On physical examination, the patient's temperature is 102°F and respiratory rate is 24. On pulmonary examination, there are diffuse crackles bilaterally. A CXR is shown in Figure .



What diagnostic test would be most appropriate?

  1. serum cryptococcal antigen
  2. fungal serologies
  3. a PPD skin test
  4. an HIV enzyme-linked immunosorbent assay (ELISA) test
  5. arterial blood gas determination

Answer(s): E

Explanation:

The patient has diffuse interstitial infiltrates on CXR that correspond in time and presentation to acute inhalation histoplasmosis. This would be seen in a patient, such as an amateur spelunker, who has been in a cave with bats. It is the act of crawling through the cave that disturbs the spores of histoplasmosis that grow in the bat guano. The incubation period for influenza is 12 days. It is passed primarily by secretions from the nose spread by hands. The other members of the expedition were not sick, as they might be with influenza. Disseminated aspergillosis occurs in immunocompromised patients who have defects in both cell-mediated and humoral immunity. This patient does not have this. While the CXR could mimic military tuberculosis, the association with caving 14 days before would make tuberculosis less likely and histoplasmosis more likely. There is no history that the patient is immunocompromised with HIV and would be at risk for P. jiroveci pneumonia. Fungal serologies would establish the diagnosis, but acute and convalescent serologies would take 3 weeks for results. These are only useful in outbreak investigations. The other choices do not fit due to the reasons above. Treatment of acute respiratory histoplasmosis is based on severe hypoxia and would require arterial blood gases to establish the need for therapy. None of the fungal infections mentioned are transmissible person to person, therefore respiratory isolation would not be necessary. Histoplasmosis is a dimorphic fungus that grows as a yeast at body temperature and a mold at room temperature. The mold produces the spores that are infectious. A similar situation occurs for Cryptococcus neoformans. C. immitis and aspergillosis are not transmitted from person to person.



A 34-year-old amateur spelunker develops cough, dyspnea, and fever 2 weeks after a caving expedition to caves in Kentucky. On physical examination, the patient's temperature is 102°F and respiratory rate is 24. On pulmonary examination, there are diffuse crackles bilaterally. A CXR is shown in Figure .



Which of these is the most appropriate statement about infection control of this patient if the patient is hospitalized?

  1. The patient is not likely to need respiratory isolation.
  2. The patient should be placed in respiratory isolation if histoplasmosis is suspected.
  3. The patient should be placed in respiratory isolation if P. jiroveci is suspected.
  4. The patient should be placed in respiratory isolation if pulmonary aspergillosis is suspected.
  5. The patient should be placed in respiratory isolation if cryptococcal pneumonia is suspected.

Answer(s): A

Explanation:

The patient has diffuse interstitial infiltrates on CXR that correspond in time and presentation to acute inhalation histoplasmosis. This would be seen in a patient, such as an amateur spelunker, who has been in a cave with bats. It is the act of crawling through the cave that disturbs the spores of histoplasmosis that grow in the bat guano. The incubation period for influenza is 12 days. It is passed primarily by secretions from the nose spread by hands. The other members of the expedition were not sick, as they might be with influenza. Disseminated aspergillosis occurs in immunocompromised patients who have defects in both cell-mediated and humoral immunity. This patient does not have this. While the CXR could mimic military tuberculosis, the association with caving 14 days before would make tuberculosis less likely and histoplasmosis more likely. There is no history that the patient is immunocompromised with HIV and would be at risk for P. jiroveci pneumonia. Fungal serologies would establish the diagnosis, but acute and convalescent serologies would take 3 weeks for results. These are only useful in outbreak investigations. The other choices do not fit due to the reasons above. Treatment of acute respiratory histoplasmosis is based on severe hypoxia and would require arterial blood gases to establish the need for therapy. None of the fungal infections mentioned are transmissible person to person, therefore respiratory isolation would not be necessary. Histoplasmosis is a dimorphic fungus that grows as a yeast at body temperature and a mold at room temperature. The mold produces the spores that are infectious. A similar situation occurs for Cryptococcus neoformans. C. immitis and aspergillosis are not transmitted from person to person.



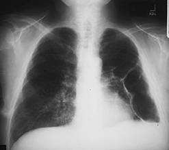
A 53-year-old insulin-dependent diabetic, who underwent a cadaveric renal transplant 1 year prior to admission, presents with fever and cough of 3 weeks duration. He works as a long-haul trucker, carting fruit from McAllen, Texas (on the Texas- Mexico border) to Fresno, California. He does not smoke. His PPD skin test prior to admission was positive. On physical examination, his respiratory rate is 25, his oral temperature is 101°F, his lungs have rhonchi and de creased breath sounds on the left. His CXR is shown in Figure.

What organism besides Mycobacterium tuberculosis leads your differential as a cause of pneumonia in this case?

  1. Haemophilus influenzae
  2. CMV
  3. P. jiroveci
  4. C. immitis
  5. Histoplasma capsulatum

Answer(s): D

Explanation:

The clinical picture is most consistent with disease caused by C. immitis. This is due both to the nature of the cavitary lesion on CXR and the endemic area. Figure 1-4 shows a peripheral, thinwalled cavitary lesion on CXR as well as a right lower lobe infiltrate. As a renal transplant recipient 1 year out, this patient is likely to have infections with tuberculosis and disseminated fungal infections. It is interesting that the route that he travels is through the lower Sonoran life zone where coccidiomycosis is endemic. CMV produces a diffuse interstitial infiltrate pattern on CXR, as does Pneumocystis and H. capsulatum. Fiberoptic bronchoscopy with bronchial alveolar lavage should be performed in any patient with this clinical presentation who is immunocompromised because of the lack of ability to produce a good sputum specimen. We know that the patient is PPD positive, so skin testing is not useful. The patient is not mentioned to be in the endemic area for histoplasmosis. Serum cryptococcal antigen testing is a remote possibility. While Cryptococcus can produce a pulmonary disease with cavitary lesions, in immunocompromised hosts such as this, the patient more likely would present with meningitis.



A 53-year-old insulin-dependent diabetic, who underwent a cadaveric renal transplant 1 year prior to admission, presents with fever and cough of 3 weeks duration. He works as a long-haul trucker, carting fruit from McAllen, Texas (on the Texas- Mexico border) to Fresno, California. He does not smoke. His PPD skin test prior to admission was positive. On physical examination, his respiratory rate is 25, his oral temperature is 101°F, his lungs have rhonchi and de creased breath sounds on the left. His CXR is shown in Figure.



What is the best diagnostic approach?

  1. PPD skin testing
  2. urine histoplasma antigen testing
  3. serum cryptococcal antigen testing
  4. sputum for silver staining for P. jiroveci
  5. fiberoptic bronchoscopy with bronchial alveolar lavage

Answer(s): E

Explanation:

The clinical picture is most consistent with disease caused by C. immitis. This is due both to the nature of the cavitary lesion on CXR and the endemic area. Figure 1-4 shows a peripheral, thinwalled cavitary lesion on CXR as well as a right lower lobe infiltrate. As a renal transplant recipient 1 year out, this patient is likely to have infections with tuberculosis and disseminated fungal infections. It is interesting that the route that he travels is through the lower Sonoran life zone where coccidiomycosis is endemic. CMV produces a diffuse interstitial infiltrate pattern on CXR, as does Pneumocystis and H. capsulatum. Fiberoptic bronchoscopy with bronchial alveolar lavage should be performed in any patient with this clinical presentation who is immunocompromised because of the lack of ability to produce a good sputum specimen. We know that the patient is PPD positive, so skin testing is not useful. The patient is not mentioned to be in the endemic area for histoplasmosis. Serum cryptococcal antigen testing is a remote possibility. While Cryptococcus can produce a pulmonary disease with cavitary lesions, in immunocompromised hosts such as this, the patient more likely would present with meningitis.



A 76-year-old alcoholic male with hypertension, type II diabetes, and a history of congestive heart presented with cough, fever, malaise, and chills. His initial vitals were: HR 110, T: 102°F, RR: 25, B P 90/60, O2 saturation 93% on 4L/NC. The patient decompensated in the ER and was intubated. Intubation was achieved after three attempts secondary to patient vomiting during the initial attempts. Patient was admitted to the ICU with a diagnosis of sepsis and respiratory failure secondary to suspected pneumonia. After obtaining blood and sputum cultures, the initial empiric antibiotic coverage should be which of the following?

  1. gatifloxacin alone
  2. vancomycin and metronidazole
  3. ceftriaxone and azithromycin
  4. ceftriaxone, gatifloxacin, and azithromycin
  5. ampicillin/sulbactam and gatifloxacin

Answer(s): E

Explanation:

Patients with pneumonia who are admitted to the ICU should be given empiric antibiotic coverage once the cultures are sent. According to the guidelines set forth by the Infectious Disease Society of America, empiric antibiotic coverage could be initiated with any of the following:

This patient is at high risk for aspiration because of his vomiting and history of alcoholism. Thus, choice E would be the most appropriate initial regimen in order to cover gram-positive, gram- negative, atypical, and anaerobic pathogens. The ampicillin-sulbactam covers gram positive, negative, and anaerobes. The flouroquinolone adds the atypical coverage in addition to providing gram-positive/ -negative coverage.



Viewing Page 13 of 162



Share your comments for USMLE STEP3 exam with other users:

hik 1/19/2024 1:47:00 PM

good content
UNITED STATES


Blessious Phiri 8/15/2023 2:18:00 PM

pdb and cdb are critical to the database
Anonymous


Zuned 10/22/2023 4:39:00 AM

till 104 questions are free, lets see how it helps me in my exam today.
UNITED STATES


Muhammad Rawish Siddiqui 12/3/2023 12:11:00 PM

question # 56, answer is true not false.
SAUDI ARABIA


Amaresh Vashishtha 8/27/2023 1:33:00 AM

i would be requiring dumps to prepare for certification exam
Anonymous


Asad 9/8/2023 1:01:00 AM

very helpful
PAKISTAN


Blessious Phiri 8/13/2023 3:10:00 PM

control file is the heart of rman backup
Anonymous


Senthil 9/19/2023 5:47:00 AM

hi could you please upload the ibm c2090-543 dumps
Anonymous


Harry 6/27/2023 7:20:00 AM

appriciate if you could upload this again
AUSTRALIA


Anonymous 7/10/2023 4:10:00 AM

please upload the dump
SWEDEN


Raja 6/20/2023 5:30:00 AM

i found some questions answers mismatch with explanation answers. please properly update
UNITED STATES


Doora 11/30/2023 4:20:00 AM

nothing to mention
Anonymous


deally 1/19/2024 3:41:00 PM

knowable questions
UNITED STATES


Sonia 7/23/2023 4:03:00 PM

very helpfull
UNITED STATES


binEY 10/6/2023 5:15:00 AM

good questions
Anonymous


Neha 9/28/2023 1:58:00 PM

its helpful
Anonymous


Desmond 1/5/2023 9:11:00 PM

i just took my oracle exam and let me tell you, this exam dumps was a lifesaver! without them, iam not sure i would have passed. the questions were tricky and the answers were obscure, but the exam dumps had everything i needed. i would recommend to anyone looking to pass their oracle exams with flying colors (and a little bit of cheating) lol.
SINGAPORE


Davidson OZ 9/9/2023 6:37:00 PM

22. if you need to make sure that one computer in your hot-spot network can access the internet without hot-spot authentication, which menu allows you to do this? answer is ip binding and not wall garden. wall garden allows specified websites to be accessed with users authentication to the hotspot
Anonymous


381 9/2/2023 4:31:00 PM

is question 1 correct?
Anonymous


Laurent 10/6/2023 5:09:00 PM

good content
Anonymous


Sniper69 5/9/2022 11:04:00 PM

manged to pass the exam with this exam dumps.
UNITED STATES


Deepak 12/27/2023 2:37:00 AM

good questions
SINGAPORE


dba 9/23/2023 3:10:00 AM

can we please have the latest exam questions?
Anonymous


Prasad 9/29/2023 7:27:00 AM

please help with jn0-649 latest dumps
HONG KONG


GTI9982 7/31/2023 10:15:00 PM

please i need this dump. thanks
CANADA


Elton Riva 12/12/2023 8:20:00 PM

i have to take the aws certified developer - associate dva-c02 in the next few weeks and i wanted to know if the questions on your website are the same as the official exam.
Anonymous


Berihun Desalegn Wonde 7/13/2023 11:00:00 AM

all questions are more important
Anonymous


gr 7/2/2023 7:03:00 AM

ques 4 answer should be c ie automatically recover from failure
Anonymous


RS 7/27/2023 7:17:00 AM

very very useful page
INDIA


Blessious Phiri 8/12/2023 11:47:00 AM

the exams are giving me an eye opener
Anonymous


AD 10/22/2023 9:08:00 AM

3rd so far, need to cover more
Anonymous


Matt 11/18/2023 2:32:00 AM

aligns with the pecd notes
Anonymous


Sri 10/15/2023 4:38:00 PM

question 4: b securityadmin is the correct answer. https://docs.snowflake.com/en/user-guide/security-access-control-overview#access-control-framework
GERMANY


H.T.M. D 6/25/2023 2:55:00 PM

kindly please share dumps
Anonymous