USMLE STEP1 Exam (page: 6)
USMLE Step1
Updated on: 25-Dec-2025

Viewing Page 6 of 171

Recanalization of the bile duct after the 13th week after fertilization allows for bile produced in the liver to reach the duodenum. However, if recanalization fails to occur and this cannot be corrected surgically, the affected infant will need a liver transplant. During development, the liver arises from which of the following?

  1. foregut
  2. hindgut
  3. midgut
  4. pleuroperitoneal membrane
  5. septum transversum

Answer(s): A

Explanation:

The liver arises as a ventral outgrowth from the caudal portion of the foregut. The midgut (choice C) arises past the junction point between the bile duct and the duodenum, distal to the formative outgrowth of the liver. The midgut gives rise to the small intestine and part of the large intestine. The hindgut (choice B) arises further distally and gives rise to the rest of the large intestine, the superior part of the anal canal, the epithelium of the urinary bladder, and most of the urethra. The pleuroperitoneal membrane (choice D) and the septum transversum (choice E) are developmental components of the diaphragm.



A 48-year-old female patient is brought to the emergency room by her husband. He reports that his wife suffers from hypertension but, as a high-level executive with a lot of pressure at work, she has been neglecting to take her medication. This morning, as he entered the garage to leave for work, he found his wife lying on the ground next to her own car. She was experiencing uncontrolled flailing of the left arm and leg. What is the most likely site of brain lesion in this patient?

  1. anterior limb of the left internal capsule
  2. anterior limb of the right internal capsule
  3. cerebellum
  4. left subthalamic nucleus of Luys
  5. right subthalamic nucleus of Luys

Answer(s): E

Explanation:

Hemiballismus is a movement disorder characterized by involuntary large amplitude movements of one or both limbs on one side of the body. It results from infarct damage to the contralateral subthalamic nucleus of Luys, in this case the right one. The left subthalamic nucleus (choice D) controls the limbs on the right side of the body, which are not affected in this case. The anterior limbs of the internal capsule (choices Aand B) contain mainly thalamocortical and corticothalamic fibers and lesions in these areas do not result in hemiballismus. Lesions in the cerebellum (choice C) also do not result in hemiballismus.



During a direct inguinal hernia repair operation, the attending surgeon reminds the firstyear surgical resident that an anatomical variation for the origin of the obturator artery exists. This artery normally arises from the internal iliac artery but it may also originate directly from which of the following vessels?

  1. common iliac artery
  2. external iliac artery
  3. inferior epigastric artery
  4. inferior vesical artery
  5. superior vesical artery

Answer(s): C

Explanation:

The obturator artery can originate from the inferior epigastric artery, a location which renders it vulnerable during inguinal hernia surgical repair. The common iliac artery (choice A) only has two branches, the external and internal iliac arteries. Within the pelvis, the external iliac artery (choice B) gives out two branches, the deep circumflex iliac and inferior epigastric arteries. The superior (choice E) and inferior (choice D) vesical arteries are branches of the internal iliac arteries, supplying the bladder.



A 37-year-old rural female patient developed pain in the lower abdomen and pelvic regions. Her physician suspects a ruptured ectopic pregnancy. However, because of the isolation of the rural community, no medical imaging or laboratory procedure is available and the physician decides to perform a culdocentesis. In the latter procedure, the needle will aspirate from which of the following spaces?

  1. ovarian fossa
  2. rectouterine pouch
  3. uterine body
  4. uterine cervix
  5. vesicouterine pouchAnswer:

Answer(s): B

Explanation:

In culdocentesis, the needle is inserted through the posterior fornix of the vagina and fluid is aspirated from the rectouterine pouch. If nonclotting blood is collected then the likelihood of a ruptured ectopic pregnancy is high. This procedure is rapid and inexpensive, however, serum progesterone level assay or ultrasonography are preferred methods. The ovarian fossa (choice A) or vesicouterine pouch (choice E) are not used in culdocentesis. The uterine body (choice C) and cervix (choice D) would not reveal blood from a ruptured ectopic pregnancy and thus are also not used in culdocentesis.



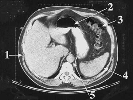
Arrow 4 in following figure, is pointing to which of the following structures?

  1. abdominal aorta
  2. colon
  3. liver
  4. spleen
  5. stomach

Answer(s): D

Explanation:

The spleen (arrow 4) lies to the left of the abdominal cavity. It is in contact with the left side of the stomach (arrow 2) and lodges against the left paravertebral gutter. The abdominal aorta (choice A, arrow 5) is seen as the circular structure immediately anterior to the vertebra. The colon (choice B, arrow 3) is the convoluted structure to the left anterior aspect of the abdominal cavity. The large liver (choice C, arrow 1) occupies most of the right side of the abdominal cavity. The stomach (choice E, arrow 2) is located between the colon and the liver, and in this case, contains liquid contrast material.



Viewing Page 6 of 171



Share your comments for USMLE STEP1 exam with other users:

Matt 12/30/2023 11:18:00 AM

if only explanations were provided...
FRANCE


Rasha 6/29/2023 8:23:00 PM

yes .. i need the dump if you can help me
Anonymous


Anonymous 7/25/2023 8:05:00 AM

good morning, could you please upload this exam again?
SPAIN


AJ 9/24/2023 9:32:00 AM

hi please upload sre foundation and practitioner exam questions
Anonymous


peter parker 8/10/2023 10:59:00 AM

the exam is listed as 80 questions with a pass mark of 70%, how is your 50 questions related?
Anonymous


Berihun 7/13/2023 7:29:00 AM

all questions are so important and covers all ccna modules
Anonymous


nspk 1/19/2024 12:53:00 AM

q 44. ans:- b (goto setup > order settings > select enable optional price books for orders) reference link --> https://resources.docs.salesforce.com/latest/latest/en-us/sfdc/pdf/sfom_impl_b2b_b2b2c.pdf(decide whether you want to enable the optional price books feature. if so, select enable optional price books for orders. you can use orders in salesforce while managing price books in an external platform. if you’re using d2c commerce, you must select enable optional price books for orders.)
Anonymous


Muhammad Rawish Siddiqui 12/2/2023 5:28:00 AM

"cost of replacing data if it were lost" is also correct.
SAUDI ARABIA


Anonymous 7/14/2023 3:17:00 AM

pls upload the questions
UNITED STATES


Mukesh 7/10/2023 4:14:00 PM

good questions
UNITED KINGDOM


Elie Abou Chrouch 12/11/2023 3:38:00 AM

question 182 - correct answer is d. ethernet frame length is 64 - 1518b. length of user data containing is that frame: 46 - 1500b.
Anonymous


Damien 9/23/2023 8:37:00 AM

i need this exam pls
Anonymous


Nani 9/10/2023 12:02:00 PM

its required for me, please make it enable to access. thanks
UNITED STATES


ethiopia 8/2/2023 2:18:00 AM

seems good..
ETHIOPIA


whoAreWeReally 12/19/2023 8:29:00 PM

took the test last week, i did have about 15 - 20 word for word from this site on the test. (only was able to cram 600 of the questions from this site so maybe more were there i didnt review) had 4 labs, bgp, lacp, vrf with tunnels and actually had to skip a lab due to time. lots of automation syntax questions.
EUROPEAN UNION


vs 9/2/2023 12:19:00 PM

no comments
Anonymous


john adenu 11/14/2023 11:02:00 AM

nice questions bring out the best in you.
Anonymous


Osman 11/21/2023 2:27:00 PM

really helpful
Anonymous


Edward 9/13/2023 5:27:00 PM

question #50 and question #81 are exactly the same questions, azure site recovery provides________for virtual machines. the first says that it is fault tolerance is the answer and second says disater recovery. from my research, it says it should be disaster recovery. can anybody explain to me why? thank you
CANADA


Monti 5/24/2023 11:14:00 PM

iam thankful for these exam dumps questions, i would not have passed without this exam dumps.
UNITED STATES


Anon 10/25/2023 10:48:00 PM

some of the answers seem to be inaccurate. q10 for example shouldnt it be an m custom column?
MALAYSIA


PeterPan 10/18/2023 10:22:00 AM

are the question real or fake?
Anonymous


CW 7/11/2023 3:19:00 PM

thank you for providing such assistance.
UNITED STATES


Mn8300 11/9/2023 8:53:00 AM

nice questions
Anonymous


Nico 4/23/2023 11:41:00 PM

my 3rd purcahse from this site. these exam dumps are helpful. very helpful.
ITALY


Chere 9/15/2023 4:21:00 AM

found it good
Anonymous


Thembelani 5/30/2023 2:47:00 AM

excellent material
Anonymous


vinesh phale 9/11/2023 2:51:00 AM

very helpfull
UNITED STATES


Bhagiii 11/4/2023 7:04:00 AM

well explained.
Anonymous


Rahul 8/8/2023 9:40:00 PM

i need the pdf, please.
CANADA


CW 7/11/2023 2:51:00 PM

a good source for exam preparation
UNITED STATES


Anchal 10/23/2023 4:01:00 PM

nice questions
INDIA


J Nunes 9/29/2023 8:19:00 AM

i need ielts general training audio guide questions
BRAZIL


Ananya 9/14/2023 5:16:00 AM

please make this content available
UNITED STATES