USMLE STEP1 Exam (page: 4)
USMLE Step1
Updated on: 25-Dec-2025

Viewing Page 4 of 171

In a medial medullary syndrome that involves a left-sided branch of the anterior spinal artery, which of the following deficits is seen?

  1. deviation of the tongue to the left, hemiplegia of arm and leg on the left
  2. deviation of the tongue to the right, hemiplegia of arm and leg on the right
  3. loss of conscious proprioception and precise tactile discrimination over the right side of the body exclusive of the face
  4. only deviation of the tongue to the left
  5. only hemiplegia on the right

Answer(s): C

Explanation:

A vascular lesion affecting the left caudal medulla involves the left medial lemniscus, left hypoglossal nerve fibers, and the left medullary pyramid. Involvement of the left medial lemniscus produces somatosensory deficits involving the right side of the body. Damage to the left hypoglossal nerve would result in deviation of the protruded tongue to the left (and other lower motoneuron signs), and damage to the left pyramid results in right hemiplegia (choices A and B involve incorrect combinations) along with other upper motoneuron signs. Choices D and E are incorrect because they fail to combine involvement of the tongue and contralateral hemiplegia.



A neurologist is performing the neurological examination on a patient who recently suffered a head trauma. You note that, as part of the examination, she uses a cotton swab to touch the upper part of the auricle, the external auditory meatus, and the lobule. The external auditory meatus of the ear is innervated by which of the following?

  1. vagus (tenth cranial) nerve
  2. great auricular nerve
  3. auriculotemporal nerve
  4. greater occipital nerve
  5. facial (seventh cranial) nerve

Answer(s): A

Explanation:

The vagus (tenth cranial) nerve innervates the external auditory meatus of the ear. The great auricular nerve (choice B) innervates the lobule of the auricle and the auriculotemporal nerve (choice C), the superior aspect of the auricle. In fact, a sensory test which includes these three parts of the ear tests the integrity of the trigeminal (fifth cranial) nerve by the auriculotemporal nerve, the vagus (tenth cranial) nerve by its branch innervating the auditory meatus, and spinal nerves C2-3 by their great auricular branch. The test thus covers the upper and lower medulla and the upper spinal cord. The greater occipital nerve (choice D) is a branch of the cervical plexus originating from C2 and innervates the scalp of the back of the head.
The facial (seventh cranial) nerve provides only motor innervation to the face and scalp areas.



A 48-year-old male patients is brought to the emergency room because of intense pain of the right face and neck with transient visual loss of the right eye. On examination, the patient has palsy of the oculomotor nerve on the right side with resulting diplopia, along with a right lateralized painful Horner syndrome. This constellation of signs is suggestive of a cervical carotid dissection, which is a separation of the arterial tunical intima from the subjacent tunica media. Which numbered structure in following figure, is the tunica intima?

  1. 1
  2. 2
  3. 3
  4. 4
  5. 5

Answer(s): D

Explanation:

Arrow 3 points to the tunica intima. The carotid artery is an elastic artery, which contains the following layers aside from the tunica intima: Tunica externa (arrow 1), and tunica media (arrow 5). In a carotid dissection, the tunica intima can elevate or separate from the tunica media with accompanying hemorrhage of the arterial wall. The most common clinical signs are ophthalmological manifestations including painful Horner syndrome, palsy of the oculomotor nerve, diplopia, and transient monocular visual loss. Arrow 2 points to a vasa vasorum, vessels which nourish the thick wall of the aorta. Arrow 4 points to the adipose tissue in the tunica externa.



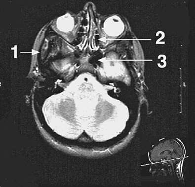
The structure indicated by arrow 2 in following figure, is which of the following?

  1. ethmoidal sinus
  2. inferior nasal meatus
  3. infratemporal fossa
  4. maxillary sinus
  5. sphenoidal sinus

Answer(s): A

Explanation:

This axial scan is at the level of the orbits as indicated by the insert at the bottom right and the eyeballs in the orbits. Arrow 2 points to the ethmoidal sinus located medial to the orbits. The sinus is divided into compartments by the air cells. The maxillary sinus (choice D) and the inferior nasal meatus (choice B) are located inferior to the level of this scan and are not seen. The sphenoidal sinus (choice E) is indicated by arrow 3 and the infratemporal fossa (choice C) by arrow 1.



A stroke resulting from obstruction of the structure indicated by arrow 1 in following figure, may result in ischemia in which of the following brain regions?

  1. Broca's area in the left frontal lobe
  2. cerebellum
  3. medial aspect of the right frontal lobe
  4. pons
  5. Wernicke's area in the left frontal lobe

Answer(s): C

Explanation:

Arrow 1 points to the right internal carotid artery which supplies the anterior and middle cerebral arteries in the brain. The territory of the right anterior cerebral artery includes the rightmedial aspect of the frontal lobe, which will be affected by obstruction of the internal carotid artery. Broca's (choice A) and Wernicke's (choice E) areas are located in the majority of the population in the left cerebral hemisphere and are supplied by the left middle cerebral artery from the left internal carotid artery. They will not be affected in this case. The cerebellum (choice B) and pons (choice D) receive their blood supply from the basilar artery (arrow 2) which is formed from the vertebral arteries.



Viewing Page 4 of 171



Share your comments for USMLE STEP1 exam with other users:

Pankaj 7/3/2023 3:57:00 AM

hi team, please upload this , i need it.
UNITED STATES


DN 9/4/2023 11:19:00 PM

question 14 - run terraform import: this is the recommended best practice for bringing manually created or destroyed resources under terraform management. you use terraform import to associate an existing resource with a terraform resource configuration. this ensures that terraform is aware of the resource, and you can subsequently manage it with terraform.
Anonymous


Zhiguang 8/19/2023 11:37:00 PM

please upload dump. thanks in advance.
Anonymous


deedee 12/23/2023 5:51:00 PM

great great
UNITED STATES


Asad Khan 11/1/2023 3:10:00 AM

answer 16 should be b your organizational policies require you to use virtual machines directly
Anonymous


Sale Danasabe 10/24/2023 5:21:00 PM

the question are kind of tricky of you didnt get the hnag on it.
Anonymous


Luis 11/16/2023 1:39:00 PM

can anyone tell me if this is for rhel8 or rhel9?
UNITED STATES


hik 1/19/2024 1:47:00 PM

good content
UNITED STATES


Blessious Phiri 8/15/2023 2:18:00 PM

pdb and cdb are critical to the database
Anonymous


Zuned 10/22/2023 4:39:00 AM

till 104 questions are free, lets see how it helps me in my exam today.
UNITED STATES


Muhammad Rawish Siddiqui 12/3/2023 12:11:00 PM

question # 56, answer is true not false.
SAUDI ARABIA


Amaresh Vashishtha 8/27/2023 1:33:00 AM

i would be requiring dumps to prepare for certification exam
Anonymous


Asad 9/8/2023 1:01:00 AM

very helpful
PAKISTAN


Blessious Phiri 8/13/2023 3:10:00 PM

control file is the heart of rman backup
Anonymous


Senthil 9/19/2023 5:47:00 AM

hi could you please upload the ibm c2090-543 dumps
Anonymous


Harry 6/27/2023 7:20:00 AM

appriciate if you could upload this again
AUSTRALIA


Anonymous 7/10/2023 4:10:00 AM

please upload the dump
SWEDEN


Raja 6/20/2023 5:30:00 AM

i found some questions answers mismatch with explanation answers. please properly update
UNITED STATES


Doora 11/30/2023 4:20:00 AM

nothing to mention
Anonymous


deally 1/19/2024 3:41:00 PM

knowable questions
UNITED STATES


Sonia 7/23/2023 4:03:00 PM

very helpfull
UNITED STATES


binEY 10/6/2023 5:15:00 AM

good questions
Anonymous


Neha 9/28/2023 1:58:00 PM

its helpful
Anonymous


Desmond 1/5/2023 9:11:00 PM

i just took my oracle exam and let me tell you, this exam dumps was a lifesaver! without them, iam not sure i would have passed. the questions were tricky and the answers were obscure, but the exam dumps had everything i needed. i would recommend to anyone looking to pass their oracle exams with flying colors (and a little bit of cheating) lol.
SINGAPORE


Davidson OZ 9/9/2023 6:37:00 PM

22. if you need to make sure that one computer in your hot-spot network can access the internet without hot-spot authentication, which menu allows you to do this? answer is ip binding and not wall garden. wall garden allows specified websites to be accessed with users authentication to the hotspot
Anonymous


381 9/2/2023 4:31:00 PM

is question 1 correct?
Anonymous


Laurent 10/6/2023 5:09:00 PM

good content
Anonymous


Sniper69 5/9/2022 11:04:00 PM

manged to pass the exam with this exam dumps.
UNITED STATES


Deepak 12/27/2023 2:37:00 AM

good questions
SINGAPORE


dba 9/23/2023 3:10:00 AM

can we please have the latest exam questions?
Anonymous


Prasad 9/29/2023 7:27:00 AM

please help with jn0-649 latest dumps
HONG KONG


GTI9982 7/31/2023 10:15:00 PM

please i need this dump. thanks
CANADA


Elton Riva 12/12/2023 8:20:00 PM

i have to take the aws certified developer - associate dva-c02 in the next few weeks and i wanted to know if the questions on your website are the same as the official exam.
Anonymous


Berihun Desalegn Wonde 7/13/2023 11:00:00 AM

all questions are more important
Anonymous