USMLE STEP1 Exam (page: 2)
USMLE Step1
Updated on: 12-Feb-2026

Viewing Page 2 of 171

A 4-month-old male infant is brought to the clinic because of excessive noisy respiration. On examination, the infant is within the normal range of growth, appears healthy, and does not show respiratory distress. Phonation is normal, along with head and neck examination findings. However, the child displays stridor (highpitched breathing sound) on inspiration, accentuated in the supine position. The parents report that the same stridor is heard during feeding or when the child is agitated. The attending physician places the child in the prone position and the stridor is relieved. To confirm, she holds the child in a neck extended position, which also relieves the stridor. An endoscopic laryngeal examination reveals bulky arytenoids cartilages and the diagnosis of laryngomalacia is established. During development, the arytenoids cartilages arise from which of the following?

  1. first pharyngeal arch
  2. second pharyngeal arch
  3. third pharyngeal arch
  4. fifth pharyngeal arch
  5. sixth pharyngeal arch

Answer(s): E

Explanation:

The arytenoid cartilages arise as swellings from the sixth pharyngeal (branchial) arch at 32 days of gestation. They are located between the caudal end of the hypobranchial eminence and the cranial end of the laryngotracheal tube. The swellings will grow cranially to form the arytenoids and corniculate cartilages along with the primitive aryepiglottic folds. In laryngomalacia, the bulky arytenoids cartilages prolapsed anteromedially on inspiration, resulting in stridor. The first (choice A), second (choice B), and third (choice C) pharyngeal arches do not participate in the development of laryngeal cartilages. The fifth (choice D) pharyngeal arch remains rudimentary and does not give rise to any adult structure.



A newborn infant suffers from cyanotic heart disease caused by transposition of the great arteries (TGA). In this situation, the aorta arises from which of the following structures?

  1. ductus arteriosus
  2. left atrium
  3. left ventricle
  4. right atrium
  5. right ventricle

Answer(s): E

Explanation:

In TGA, the aorta arises from the right ventricle and the pulmonary trunk arises from the left ventricle (choice C). This is the reverse of the normal situation and gives rise to the cyanotic condition in the newborn. The large arteries arise from the truncus arteriosus in the developing heart and thus could not develop from the atria (choices B and D), which are formed from the sinus venosus. The truncus arteriosus and the sinus venosus are at opposite ends of the heart. The ductus arteriosus (choice A) is the vessel that shunts oxygenated blood from the pulmonary trunk to the arch of the aorta in the fetus. It does not give rise to the aorta.



About 75% of the blood supply of the spinal cord is derived from the anterior spinal artery. This artery arises from which of the following?

  1. artery of Adamkiewicz
  2. basilar artery
  3. internal carotid artery
  4. posterior inferior cerebellar artery
  5. vertebral artery

Answer(s): E

Explanation:

At the level of the foramen magnum, the bilateral vertebral arteries supply a medial branch each and they combine to form the anterior spinal artery. As the anterior spinal artery continues caudally, it is supplied by radicular arteries arising from the aorta and its branches. The artery of Adamkiewicz (choice A) is the largest radicular artery (arteria radicularis magna), frequently arising from a segmental branch of the thoracic aorta at the level of T10. The basilar artery (choice B) is formed by the joining of the vertebral arteries superior to the foramen magnum and thus does not provide blood supply to the spinal cord. Its branches supply the brainstem. The internal carotid artery (choice C) supplies the orbit via its ophthalmic branch and the brain by its anterior and middle cerebral branches. The posterior inferior cerebellar artery (choice D) is a branch of the vertebral artery, providing vascular supply to the medulla oblongata and the inferior aspect of the cerebellum.



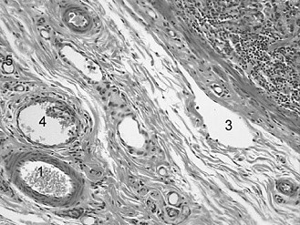
Clinical edema results when lymphatic vessels are blocked or when the volume of extracellular fluid exceeds the drainage capacity of the lymphatic vessels. Which of the following numbered structures in following figure is a lymphatic vessel?

  1. 1
  2. 2
  3. 3
  4. 4
  5. 5

Answer(s): C

Explanation:

An irregular outline, a thin wall, and the lack of erythrocytes in the lumen characterize lymphatic vessel.
Arterioles (choices A and B) have thicker walls and contain erythrocytes. Venules (choice D) are thin-walled but they contain erythrocytes. Capillaries (choice E) are small in diameter and they contain erythrocytes.



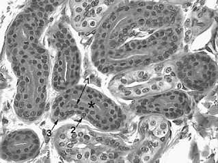
The histological structure marked by the asterisk in Fig. 1-4 is which of the following structures from the integumentary system?

  1. aprocrine sweat gland
  2. dermal papilla
  3. eccrine sweat gland
  4. hair follicle
  5. sebaceous gland

Answer(s): C

Explanation:

This is the secretory portion of the eccrine sweat gland, recognizable by its three cell types. The apical dark cells (arrow 1) are closest to the lumen. The clear or basal cells (arrow 2) and the myoepithelial cells (arrow
3) are located against the basal lamina. Characteristically, these cells are large and the lumen is small. The apocrine sweat gland (choice A) is lined with simple cuboidal epithelium and thus has a large lumen. The dermal papilla (choice B) is formed by fibroblasts, not epithelia. The hair follicle (choice D) is formed by three concentric zones of keratinized cells and does not have a lumen. The sebaceous glands (choice E) are appendages of the hair follicle and their lumen is lined by stratified squamous epithelium.



Viewing Page 2 of 171



Share your comments for USMLE STEP1 exam with other users:

Mchal 7/20/2023 3:38:00 AM

some questions are wrongly answered but its good nonetheless
POLAND


Sonbir 8/8/2023 1:04:00 PM

how to get system serial number using intune
Anonymous


Manju 10/19/2023 1:19:00 PM

is it really helpful to pass the exam
Anonymous


LeAnne Hair 8/24/2023 12:47:00 PM

#229 in incorrect - all the customers require an annual review
UNITED STATES


Abdul SK 9/28/2023 11:42:00 PM

kindy upload
Anonymous


Aderonke 10/23/2023 12:53:00 PM

fantastic assessment on psm 1
UNITED KINGDOM


SAJI 7/20/2023 2:51:00 AM

56 question correct answer a,b
Anonymous


Raj Kumar 10/23/2023 8:52:00 PM

thank you for providing the q bank
CANADA


piyush keshari 7/7/2023 9:46:00 PM

true quesstions
Anonymous


B.A.J 11/6/2023 7:01:00 AM

i can“t believe ms asks things like this, seems to be only marketing material.
Anonymous


Guss 5/23/2023 12:28:00 PM

hi, could you please add the last update of ns0-527
Anonymous


Rond65 8/22/2023 4:39:00 PM

question #3 refers to vnet4 and vnet5. however, there is no vnet5 listed in the case study (testlet 2).
UNITED STATES


Cheers 12/13/2023 9:55:00 AM

sometimes it may be good some times it may be
GERMANY


Sumita Bose 7/21/2023 1:01:00 AM

qs 4 answer seems wrong- please check
AUSTRALIA


Amit 9/7/2023 12:53:00 AM

very detailed explanation !
HONG KONG


FisherGirl 5/16/2022 10:36:00 PM

the interactive nature of the test engine application makes the preparation process less boring.
NETHERLANDS


Chiranthaka 9/20/2023 11:15:00 AM

very useful.
Anonymous


SK 7/15/2023 3:51:00 AM

complete question dump should be made available for practice.
Anonymous


Gamerrr420 5/25/2022 9:38:00 PM

i just passed my first exam. i got 2 exam dumps as part of the 50% sale. my second exam is under work. once i write that exam i report my result. but so far i am confident.
AUSTRALIA


Kudu hgeur 9/21/2023 5:58:00 PM

nice create dewey stefen
CZECH REPUBLIC


Anorag 9/6/2023 9:24:00 AM

i just wrote this exam and it is still valid. the questions are exactly the same but there are about 4 or 5 questions that are answered incorrectly. so watch out for those. best of luck with your exam.
CANADA


Nathan 1/10/2023 3:54:00 PM

passed my exam today. this is a good start to 2023.
UNITED STATES


1 10/28/2023 7:32:00 AM

great sharing
Anonymous


Anand 1/20/2024 10:36:00 AM

very helpful
UNITED STATES


Kumar 6/23/2023 1:07:00 PM

thanks.. very helpful
FRANCE


User random 11/15/2023 3:01:00 AM

i registered for 1z0-1047-23 but dumps qre available for 1z0-1047-22. help me with this...
UNITED STATES


kk 1/17/2024 3:00:00 PM

very helpful
UNITED STATES


Raj 7/24/2023 10:20:00 AM

please upload oracle 1z0-1110-22 exam pdf
INDIA


Blessious Phiri 8/13/2023 11:58:00 AM

becoming interesting on the logical part of the cdbs and pdbs
Anonymous


LOL what a joke 9/10/2023 9:09:00 AM

some of the answers are incorrect, i would be wary of using this until an admin goes back and reviews all the answers
UNITED STATES


Muhammad Rawish Siddiqui 12/9/2023 7:40:00 AM

question # 267: federated operating model is also correct.
SAUDI ARABIA


Mayar 9/22/2023 4:58:00 AM

its helpful alot.
Anonymous


Sandeep 7/25/2022 11:58:00 PM

the questiosn from this braindumps are same as in the real exam. my passing mark was 84%.
INDIA


Eman Sawalha 6/10/2023 6:09:00 AM

it is an exam that measures your understanding of cloud computing resources provided by aws. these resources are aligned under 6 categories: storage, compute, database, infrastructure, pricing and network. with all of the services and typees of services under each category
GREECE