USMLE STEP1 Exam (page: 28)
USMLE Step1
Updated on: 16-Feb-2026

Viewing Page 28 of 171

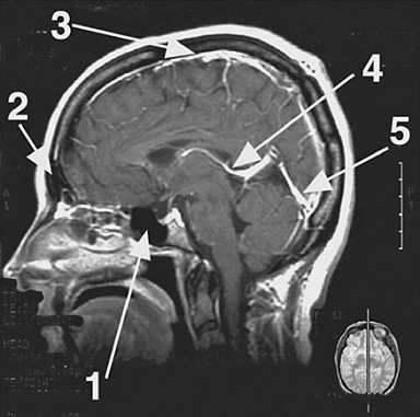
The great cerebral vein of Galen indicated by arrow 4 in following figure is formed by the union of two internal cerebral veins and drains into which of the following?

  1. confluence of sinuses
  2. frontal sinus
  3. sphenoid sinus
  4. straight sinus
  5. superior sagittal sinus

Answer(s): D

Explanation:

The great cerebral vein of Galen (arrow 4) drains posteriorly into the straight sinus (arrow 5). The union of the superior sagittal sinus (choice E; arrow 3) and the straight sinus forms the confluence of sinuses (choice A). The straight sinus and superior sagittal sinus are dural venous sinuses: they contain venous blood draining form the brain, skull, and scalp. The frontal sinus (choice B) and the sphenoid sinus (choice C) are bony sinuses: they are hollow, airfilled structures and do not drain venous blood.



A 42-year-old female patient has to undergo emergency cholecystectomy due to intense biliary colic. The structure to be removed during the surgery is indicated in following figure by which of the following arrows?

  1. 1
  2. 2
  3. 3
  4. 4
  5. 5

Answer(s): B

Explanation:

Arrow 2 points to the gallbladder, which will be removed during the cholecystectomy (surgical removal of the gallbladder). Biliary colic may be due to impaction of a gallstone in the cystic duct, resulting in cholecystitis (inflammation of the gallbladder). Arrow 1 (choice A) points to the liver. Arrow 3 (choice C) points to the transverse colon. Arrow 4 (choice D) points to the spleen and arrow 5 (choice E) indicates the stomach, recognizable by its internal rugae.



Apatient with a developing astroglioma in the primary auditory cortex (Brodmann's area 41) complains of hearing unusual noises. What is the main source of subcortical input to the primary auditory cortex?

  1. inferior colliculus
  2. lateral geniculate nucleus
  3. medial geniculate nucleus
  4. superior colliculus
  5. superior olivary nucleus

Answer(s): C

Explanation:

The main subcortical afferents to the primary auditory cortex (Brodmann's area 41) arise from the medial geniculate nucleus of the thalamus. The inferior colliculus (choice A) is a midbrain auditory relay nucleus, which sends projections to the medial geniculate nucleus. The lateral geniculate nucleus (choice B) is a visual relay nucleus in the thalamus and it projects to the primary visual cortex (Brodmann's area 17). The superior colliculus (choice D) is a midbrain visual relay nucleus, which provides fibers to the tectospinal tract. The superior olivary nucleus (choice E) is a medullary auditory relay nucleus, which sends projections to the cochlea.



A 65-year-old male patient develops neurological symptoms due to an embolus in the left common carotid artery. In the CT scan in following figure, the involved vessel is indicated by which of the following arrows?

  1. 1
  2. 2
  3. 3
  4. 4
  5. 5

Answer(s): D

Explanation:

Arrow 4 points to the left common carotid artery. The three arteries arising from the arch of the aorta are lined anteriorly to posteriorly on a slanted line: arrow 3 (choice C) shows the brachiocephalic artery, arrow 4 (choice D) points to the left common carotid artery, and arrow 5 (choice E) indicates the left subclavian artery. Arrow 2 (choice B) points to the right brachiocephalic vein, which is joined here by the left brachiocephalic vein. Arrow 1 (choice A) points to the trachea, which is filled with air and thus is not radiopaque.



A 53-year-old male patient has developed an abnormal hypersensitivity in the face area. He complains that he feels pain when he drives with the window down and from the wind blowing on his face. The pain is exacerbated by direct touch to the left side of his lower jaw. The patient is diagnosed with trigeminal neuralgia (tic douloureux). Where do pain fibers from the left side of his mandible project to?

  1. mesencephalic trigeminal nucleus
  2. motor trigeminal nucleus
  3. principal sensory trigeminal nucleus
  4. spinal (descending) trigeminal nucleus
  5. trigeminal (gasserian) ganglion

Answer(s): D

Explanation:

Fibers from pain and temperature receptors in the face area all project to the spinal (descending) trigeminal nucleus. The mesencephalic trigeminal nucleus (choice A) contains the perikarya of the proprioceptive fibers of the muscles of mastication. The motor trigeminal nucleus (choice B) receives innervations from the mesencephalic trigeminal nucleus. The principal sensory trigeminal nucleus (choice C) receives somatosensory fibers from the face, gums, teeth, and anterior two-thirds of the tongue. The trigeminal (gasserian) ganglion (choice E) contains the sensory perikarya of all three subdivisions of the trigeminal nerve.



Viewing Page 28 of 171



Share your comments for USMLE STEP1 exam with other users:

francesco 10/30/2023 11:08:00 AM

helpful on 2017 scrum guide
EUROPEAN UNION


Amitabha Roy 10/5/2023 3:16:00 AM

planning to attempt for the exam.
Anonymous


Prem Yadav 7/29/2023 6:20:00 AM

pleaseee upload
INDIA


Ahmed Hashi 7/6/2023 5:40:00 PM

thanks ly so i have information cia
EUROPEAN UNION


mansi 5/31/2023 7:58:00 AM

hello team, i need sap qm dumps for practice
INDIA


Jamil aljamil 12/4/2023 4:47:00 AM

it’s good but not senatios based
UNITED KINGDOM


Cath 10/10/2023 10:19:00 AM

q.119 - the correct answer is b - they are not captured in an update set as theyre data.
VIET NAM


P 1/6/2024 11:22:00 AM

good matter
Anonymous


surya 7/30/2023 2:02:00 PM

please upload c_sacp_2308
CANADA


Sasuke 7/11/2023 10:30:00 PM

please upload the dump. thanks very much !!
Anonymous


V 7/4/2023 8:57:00 AM

good questions
UNITED STATES


TTB 8/22/2023 5:30:00 AM

hi, could you please update the latest dump version
Anonymous


T 7/28/2023 9:06:00 PM

this question is keep repeat : you are developing a sales application that will contain several azure cloud services and handle different components of a transaction. different cloud services will process customer orders, billing, payment, inventory, and shipping. you need to recommend a solution to enable the cloud services to asynchronously communicate transaction information by using xml messages. what should you include in the recommendation?
NEW ZEALAND


Gurgaon 9/28/2023 4:35:00 AM

great questions
UNITED STATES


wasif 10/11/2023 2:22:00 AM

its realy good
UNITED ARAB EMIRATES


Shubhra Rathi 8/26/2023 1:12:00 PM

oracle 1z0-1059-22 dumps
Anonymous


Leo 7/29/2023 8:48:00 AM

please share me the pdf..
INDIA


AbedRabbou Alaqabna 12/18/2023 3:10:00 AM

q50: which two functions can be used by an end user when pivoting an interactive report? the correct answer is a, c because we do not have rank in the function pivoting you can check in the apex app
GREECE


Rohan Limaye 12/30/2023 8:52:00 AM

best to practice
Anonymous


Aparajeeta 10/13/2023 2:42:00 PM

so far it is good
Anonymous


Vgf 7/20/2023 3:59:00 PM

please provide me the dump
Anonymous


Deno 10/25/2023 1:14:00 AM

i failed the cisa exam today. but i have found all the questions that were on the exam to be on this site.
Anonymous


CiscoStudent 11/15/2023 5:29:00 AM

in question 272 the right answer states that an autonomous acces point is "configured and managed by the wlc" but this is not what i have learned in my ccna course. is this a mistake? i understand that lightweight aps are managed by wlc while autonomous work as standalones on the wlan.
Anonymous


pankaj 9/28/2023 4:36:00 AM

it was helpful
Anonymous


User123 10/8/2023 9:59:00 AM

good question
UNITED STATES


vinay 9/4/2023 10:23:00 AM

really nice
Anonymous


Usman 8/28/2023 10:07:00 AM

please i need dumps for isc2 cybersecuity
Anonymous


Q44 7/30/2023 11:50:00 AM

ans is coldline i think
UNITED STATES


Anuj 12/21/2023 1:30:00 PM

very helpful
Anonymous


Giri 9/13/2023 10:31:00 PM

can you please provide dumps so that it helps me more
UNITED STATES


Aaron 2/8/2023 12:10:00 AM

thank you for providing me with the updated question and answers. this version has all the questions from the exam. i just saw them in my exam this morning. i passed my exam today.
SOUTH AFRICA


Sarwar 12/21/2023 4:54:00 PM

how i can see exam questions?
CANADA


Chengchaone 9/11/2023 10:22:00 AM

can you please upload please?
Anonymous


Mouli 9/2/2023 7:02:00 AM

question 75: option c is correct answer
Anonymous