USMLE Step1 STEP1 Exam Questions in PDF

Free USMLE STEP1 Dumps Questions (page: 29)

Askydiver landing forcefully on his right lower limb suffered a central fracture of the acetabulum with dislocation of the femoral head into the pelvis. The acetabulum is formed by the joining of the ilium, ischium, and pubis. These three bones are completely fused by which of the following periods?

  1. birth
  2. 6 years
  3. puberty
  4. 16 years
  5. 23 years

Answer(s): E

Explanation:

Fusion of the ilium, ischium, and pubis at the acetabulum is usually complete by age 23. From birth to the early 20s (choices AD), the three bones are held together by a Y-shaped cartilage.



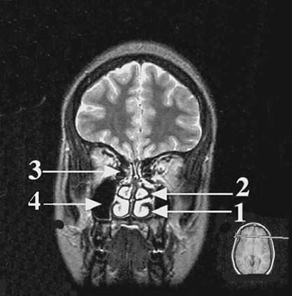
In the coronal section of the head shown in following figure arrow 2 points to a structure that belongs to which of the following?

  1. ethmoid bone
  2. inferior nasal concha
  3. maxillary bone
  4. nasal septum
  5. vomer bone

Answer(s): A

Explanation:

Arrow 2 points to the middle nasal concha, which is part of the ethmoid bone. Arrow 3 points to the ethmoid sinus, which also belongs to the ethmoid bone. The inferior nasal concha (arrow 1) is a separate bone (choice B). The maxillary bone (choice C) is located more laterally and does not contribute to the nasal conchae. The maxillary sinus, a part of the maxillary bone, is indicated by arrow 4. The vomer bone (choice E) forms part of the nasal septum (choice D), which can be seen here as the thin line between the nasal conchae. The nasal conchae have no attachment to the septum.



The hands and nails of a 45-year-old woman show the discolorations indicated in below figure. The woman states that she had pulmonary tuberculosis about 10 years ago. The clinician prescribes cortisol, but counsels her that as a side effect it might lead to thin skin and thinning of her limbs because of an increase in which of the following?

  1. adrenocorticotropic hormone (ACTH) secretion
  2. corticotrophin-releasing hormone (CRH) secretion
  3. insulin sensitivity in muscle
  4. protein degradation
  5. wound healing

Answer(s): D

Explanation:

Tuberculosis is known to increase the susceptibility of developing chronic adrenal insufficiency, also known as hypocortisolism, or Addison disease. It leads to hyperpigmentation as seen in the palmar skin creases and nails of the woman. Administration of cortisol replaces the inadequate release of glandular cortisol.
Cortisol decreases protein synthesis and increases protein degradation. The newly available amino acids are then used for gluconeogenesis, which lead to the name "glucocorticoid" for cortisol. Increasing serum cortisol levels will decrease, not increase, secretion of ACTH (choice A) and CRH (choice B) by feedback inhibition. Cortisol decreases, not increases, the sensitivity of cells to insulin (choice C) by decreasing the translocation of glucose transporters to the cell membrane. Because cortisol decreases utilization of glucose by muscle and adipose tissue, blood glucose rises. This provides a stimulus to release insulin.
Thus, prolonged exposure to high levels of cortisol can lead to diabetes mellitus due to exhaustion of pancreatic beta cells. Although cortisol acts as an anti- inflammatory agent, it has a negative, not a positive, effect on wound healing (choice E). Cortisol suppresses the activity of leukocytes which are important for debriding the wound. Cortisol increases catabolism, which leads to the breakdown of nutrients that are needed for generating new tissue. Cortisol stimulates catecholamines leading to vasoconstriction and consequent reduction of oxygen, nutrient, and white blood cell delivery. Cortisol may also inhibit collagen production.



A healthy 17-year-old male tells his doctor during a normal check-up visit that "his muscles gave out" when he recently attempted to lift a heavy load. On questioning, he answers that he did not experience any other neuromuscular problems after this experience. What is the most likely mechanism responsible for the abrupt cessation of skeletal muscle contraction?

  1. activation of alpha motor neurons
  2. activation of gamma motor neurons
  3. activation of Golgi tendon organs
  4. activation of muscle spindles
  5. skeletal muscle ischemia

Answer(s): C

Explanation:

When there is danger of damage to the tendons or bones to which the muscles are attached, Golgi tendon organs are activated and elicit rapid responses through neural connections located within the spinal cord that result in muscle relaxation. Golgi tendon organs are muscle proprioceptors that are found close to the junction between tendon and muscle fibers. They are in series with the muscle fibers and respond to the stretch of tendons which accompanies muscle tension. The threshold for activating them in this manner is high and it is therefore believed that they play an important role in the reflex response of a muscle after excessive force ("muscles give out"). In the spinal reflex pathways, the Ib afferent axons from the Golgi tendon organ synapse on inhibitory spinal cord interneurons, which then inhibit, not activate, alpha motor neuron activity serving the same muscles (choice A). Gamma motor neurons (choice B) innervate muscle spindles. These neurons control the sensitivity of the spindle by maintaining the proportions between spindle and muscle length and by dampening the function of the spindle, regardless of change in muscle length. This is important for normal movements. Muscle spindles (choice D) continuously signal information about the length of a muscle and the rate of change in length. They are important for conscious appreciation of the body's position, for planning and execution of controlled movements. Low oxygenation of the muscle or ischemia (choice E) is not the primary trigger for spinal reflexes, and will occur gradually, not suddenly as described in the question.



A 34-year-old male is brought into the emergency room, having been found unconscious in his apartment. Apparently, he has been in this state for 2 days. The laboratory values for the patient's blood and urine are consistent with elevated circulating antidiuretic hormone (ADH). Which one of the following will directly stimulate ADH in this patient?

  1. angiotensinogen
  2. extracellular fluid osmolality increase
  3. temperature decrease
  4. thyroid hormone
  5. volume increase

Answer(s): B

Explanation:

ADH acts to increase renal water conservation secondary to dehydration. Choice B, which can result from dehydration, is the logical trigger for ADH secretion. Angiotensinogen (choice A) is inactive and will not directly stimulate ADH, but its active metabolite angiotensin II or III will increase ADH secretion. Choices C, D, and E will either inhibit, or have minimal effects on ADH secretion.



Share your comments for USMLE STEP1 exam with other users:

M
Mike Derfalem
7/16/2023 7:59:00 PM

i need it right now if it was possible please

I
Isak
7/6/2023 3:21:00 AM

i need it very much please share it in the fastest time.

M
Maria
6/23/2023 11:40:00 AM

correct answer is d for student.java program

N
Nagendra Pedipina
7/12/2023 9:10:00 AM

q:37 c is correct

J
John
9/16/2023 9:37:00 PM

q6 exam topic: terramearth, c: correct answer: copy 1petabyte to encrypted usb device ???

S
SAM
12/4/2023 12:56:00 AM

explained answers

A
Andy
12/26/2023 9:35:00 PM

plan to take theaws certified developer - associate dva-c02 in the next few weeks

S
siva
5/17/2023 12:32:00 AM

very helpfull

M
mouna
9/27/2023 8:53:00 AM

good questions

B
Bhavya
9/12/2023 7:18:00 AM

help to practice csa exam

M
Malik
9/28/2023 1:09:00 PM

nice tip and well documented

R
rodrigo
6/22/2023 7:55:00 AM

i need the exam

D
Dan
6/29/2023 1:53:00 PM

please upload

A
Ale M
11/22/2023 6:38:00 PM

prepping for fsc exam

A
ahmad hassan
9/6/2023 3:26:00 AM

pd1 with great experience

Ž
Žarko
9/5/2023 3:35:00 AM

@t it seems like azure service bus message quesues could be the best solution

S
Shiji
10/15/2023 1:08:00 PM

helpful to check your understanding.

D
Da Costa
8/27/2023 11:43:00 AM

question 128 the answer should be static not auto

B
bot
7/26/2023 6:45:00 PM

more comments here

K
Kaleemullah
12/31/2023 1:35:00 AM

great support to appear for exams

B
Bsmaind
8/20/2023 9:26:00 AM

useful dumps

B
Blessious Phiri
8/13/2023 8:37:00 AM

making progress

N
Nabla
9/17/2023 10:20:00 AM

q31 answer should be d i think

V
vladputin
7/20/2023 5:00:00 AM

is this real?

N
Nick W
9/29/2023 7:32:00 AM

q10: c and f are also true. q11: this is outdated. you no longer need ownership on a pipe to operate it

N
Naveed
8/28/2023 2:48:00 AM

good questions with simple explanation

C
cert
9/24/2023 4:53:00 PM

admin guide (windows) respond to malicious causality chains. when the cortex xdr agent identifies a remote network connection that attempts to perform malicious activity—such as encrypting endpoint files—the agent can automatically block the ip address to close all existing communication and block new connections from this ip address to the endpoint. when cortex xdrblocks an ip address per endpoint, that address remains blocked throughout all agent profiles and policies, including any host-firewall policy rules. you can view the list of all blocked ip addresses per endpoint from the action center, as well as unblock them to re-enable communication as appropriate. this module is supported with cortex xdr agent 7.3.0 and later. select the action mode to take when the cortex xdr agent detects remote malicious causality chains: enabled (default)—terminate connection and block ip address of the remote connection. disabled—do not block remote ip addresses. to allow specific and known s

Y
Yves
8/29/2023 8:46:00 PM

very inciting

M
Miguel
10/16/2023 11:18:00 AM

question 5, it seems a instead of d, because: - care plan = case - patient = person account - product = product2;

B
Byset
9/25/2023 12:49:00 AM

it look like real one

D
Debabrata Das
8/28/2023 8:42:00 AM

i am taking oracle fcc certification test next two days, pls share question dumps

N
nITA KALE
8/22/2023 1:57:00 AM

i need dumps

C
CV
9/9/2023 1:54:00 PM

its time to comptia sec+

S
SkepticReader
8/1/2023 8:51:00 AM

question 35 has an answer for a different question. i believe the answer is "a" because it shut off the firewall. "0" in registry data means that its false (aka off).

AI Tutor 👋 I’m here to help!