ARDMS SPI Exam (page: 3)
ARDMS Sonography Principles and Instrumentation
Updated on: 12-Feb-2026

Viewing Page 3 of 28

What is the primary purpose of backing material in transducers?

  1. Improving axial resolution
  2. Increasing the number of cycles in a pulse
  3. Preventing electrical shock to the operator or patient
  4. Improving acoustic impedance matching

Answer(s): A

Explanation:

The backing material, also known as damping material, in an ultrasound transducer serves to dampen the vibrations of the piezoelectric crystal.

This damping reduces the number of cycles in each pulse, leading to a shorter spatial pulse length (SPL).

Shorter SPL improves axial resolution by allowing the system to better distinguish between two closely spaced structures along the axis of the ultrasound beam.

Improved axial resolution is crucial for producing clearer, more detailed images.


Reference:

ARDMS Sonography Principles and Instrumentation guidelines on transducer design and the role of backing material in image quality.



During a color Doppler scan, which angle to flow would most likely result in no color being visualized?

  1. 3 degrees
  2. 45 degrees
  3. 88 degrees
  4. 175 degrees

Answer(s): C

Explanation:

Color Doppler imaging is most effective when the angle between the ultrasound beam and the flow of blood is small.

At an angle of 88 degrees, the flow of blood is nearly perpendicular to the ultrasound beam.

When the angle is close to 90 degrees, the Doppler shift (frequency change) approaches zero, resulting in little to no color being visualized on the Doppler image.

Thus, to obtain a color signal, the angle should be optimized to be as close to 0 degrees as possible, with 60 degrees being the practical limit for accurate Doppler measurements.


Reference:

ARDMS Sonography Principles and Instrumentation guidelines on Doppler angle and its effect on Doppler imaging.



In this image obtained from a tissue-mimicking phantom, which area of the sector is used to evaluate the dead zone?

  1. Option A
  2. Option B
  3. Option C
  4. Option D

Answer(s): A

Explanation:

The dead zone in ultrasound imaging refers to the region closest to the transducer where imaging is not possible due to the high amplitude of the initial pulse. In a tissue-mimicking phantom, this is the area where no useful imaging data can be obtained. The purpose of evaluating the dead zone is to ensure that it is as small as possible to maximize the usable imaging depth. In the provided image, Option A represents the area closest to the transducer face, which is typically used to evaluate the dead zone. The other areas are further away and are used for evaluating other parameters such as resolution or depth penetration.


Reference:

American Registry for Diagnostic Medical Sonography (ARDMS) Sonography Principles and Instrumentation guidelines.



Which resolution is degraded when utilizing multiple transmit focal zones?

  1. Temporal
  2. Lateral
  3. Axial
  4. Elevational

Answer(s): A

Explanation:

When utilizing multiple transmit focal zones, the ultrasound system must perform multiple transmissions at each focal depth. This process requires more time for data acquisition, which in turn decreases the frame rate. A lower frame rate directly impacts temporal resolution, which is the ability to accurately depict moving structures over time. Thus, using multiple focal zones improves lateral resolution but degrades temporal resolution.


Reference:

American Registry for Diagnostic Medical Sonography (ARDMS) Sonography Principles and

Instrumentation guidelines.



Which color Doppler setting can be optimized to eliminate low-frequency Doppler shifts without having any effect on higher Doppler frequency shifts?

  1. Gain
  2. Scale
  3. Wall filter
  4. Persistence

Answer(s): C

Explanation:

The wall filter is used in color Doppler and spectral Doppler imaging to eliminate low-frequency Doppler shifts caused by tissue motion or vessel wall movement. Adjusting the wall filter removes these low-frequency signals without affecting higher-frequency Doppler shifts that represent blood flow. Other settings like gain, scale, and persistence do not selectively filter out low-frequency shifts in the same manner.


Reference:

American Registry for Diagnostic Medical Sonography (ARDMS) Sonography Principles and Instrumentation guidelines.



Which change improves temporal resolution during color flow imaging?

  1. Increase field of view
  2. Decrease transmit frequency
  3. Decrease packet size
  4. Increase line density

Answer(s): C

Explanation:

Temporal resolution is improved by increasing the frame rate. One way to increase the frame rate is by decreasing the packet size (also known as ensemble length) in color Doppler imaging. The packet size refers to the number of pulses used to determine the Doppler shift at each location. A smaller packet size means fewer pulses are required, which allows for quicker data acquisition and thus a higher frame rate. Increasing the field of view, decreasing transmit frequency, and increasing line density would all decrease the frame rate and thus degrade temporal resolution.


Reference:

American Registry for Diagnostic Medical Sonography (ARDMS) Sonography Principles and Instrumentation guidelines.



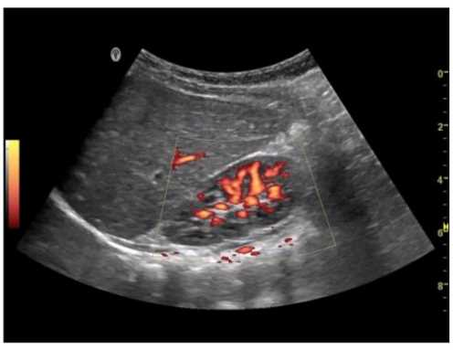
What does this image demonstrate?

  1. Presence of flow
  2. Direction of flow
  3. Color aliasing
  4. Color inversion

Answer(s): C

Explanation:

Color aliasing in Doppler ultrasound occurs when the velocity of blood flow exceeds the Nyquist limit, causing the color display to wrap around and display high velocities incorrectly as the opposite direction. This phenomenon is characterized by a mix of colors that indicate flow in both directions at the same location. In the provided image, there is a clear presence of color aliasing, as evidenced by the abrupt color change across the vessel, which is not consistent with normal flow patterns.


Reference:

American Registry for Diagnostic Medical Sonography (ARDMS) Sonography Principles and Instrumentation guidelines.



Which artifact is seen as a result of an increase in echo amplitude in the tissue located distal to an anechoic structure?

  1. Mirror image
  2. Reverberation
  3. Comet tail
  4. Enhancement

Answer(s): D

Explanation:

Enhancement artifact occurs when an anechoic (or low-attenuation) structure, such as a cyst or fluid- filled structure, allows the ultrasound beam to pass through it with minimal attenuation. As a result, the tissues located distal to this anechoic structure appear brighter (increased echo amplitude) on the ultrasound image because the sound waves are less attenuated by the anechoic structure, leading to higher intensity echoes returning from the distal tissue. This increased brightness beyond the anechoic area is known as enhancement.


Reference:

ARDMS Sonography Principles and Instrumentation guidelines

Kremkau, F. W. (2015). Diagnostic Ultrasound: Principles and Instruments. Elsevier.



Viewing Page 3 of 28



Share your comments for ARDMS SPI exam with other users:

Harsh 6/12/2023 1:43:00 PM

yes going good
Anonymous


Salesforce consultant 1/2/2024 1:32:00 PM

good questions for practice
FRANCE


Ridima 9/12/2023 4:18:00 AM

need dump and sap notes for c_s4cpr_2308 - sap certified application associate - sap s/4hana cloud, public edition - sourcing and procurement
Anonymous


Tanvi Rajput 10/6/2023 6:50:00 AM

question 11: d i personally feel some answers are wrong.
UNITED KINGDOM


Anil 7/18/2023 9:38:00 AM

nice questions
Anonymous


Chris 8/26/2023 1:10:00 AM

looking for c1000-158: ibm cloud technical advocate v4 questions
Anonymous


sachin 6/27/2023 1:22:00 PM

can you share the pdf
Anonymous


Blessious Phiri 8/13/2023 10:26:00 AM

admin ii is real technical stuff
Anonymous


Luis Manuel 7/13/2023 9:30:00 PM

could you post the link
UNITED STATES


vijendra 8/18/2023 7:54:00 AM

hello send me dumps
Anonymous


Simeneh 7/9/2023 8:46:00 AM

it is very nice
Anonymous


john 11/16/2023 5:13:00 PM

i gave the amazon dva-c02 tests today and passed. very helpful.
Anonymous


Tao 11/20/2023 8:53:00 AM

there is an incorrect word in the problem statement. for example, in question 1, there is the word "speci c". this is "specific. in the other question, there is the word "noti cation". this is "notification. these mistakes make this site difficult for me to use.
Anonymous


patricks 10/24/2023 6:02:00 AM

passed my az-120 certification exam today with 90% marks. studied using the dumps highly recommended to all.
Anonymous


Ananya 9/14/2023 5:17:00 AM

i need it, plz make it available
UNITED STATES


JM 12/19/2023 2:41:00 PM

q47: intrusion prevention system is the correct answer, not patch management. by definition, there are no patches available for a zero-day vulnerability. the way to prevent an attacker from exploiting a zero-day vulnerability is to use an ips.
UNITED STATES


Ronke 8/18/2023 10:39:00 AM

this is simple but tiugh as well
Anonymous


CesarPA 7/12/2023 10:36:00 PM

questão 4, segundo meu compilador local e o site https://www.jdoodle.com/online-java-compiler/, a resposta correta é "c" !
UNITED STATES


Jeya 9/13/2023 7:50:00 AM

its very useful
INDIA


Tracy 10/24/2023 6:28:00 AM

i mastered my skills and aced the comptia 220-1102 exam with a score of 920/1000. i give the credit to for my success.
Anonymous


James 8/17/2023 4:33:00 PM

real questions
UNITED STATES


Aderonke 10/23/2023 1:07:00 PM

very helpful assessments
UNITED KINGDOM


Simmi 8/24/2023 7:25:00 AM

hi there, i would like to get dumps for this exam
AUSTRALIA


johnson 10/24/2023 5:47:00 AM

i studied for the microsoft azure az-204 exam through it has 100% real questions available for practice along with various mock tests. i scored 900/1000.
GERMANY


Manas 9/9/2023 1:48:00 AM

please upload 1z0-1072-23 exam dups
UNITED STATES


SB 9/12/2023 5:15:00 AM

i was hoping if you could please share the pdf as i’m currently preparing to give the exam.
Anonymous


Jagjit 8/26/2023 5:01:00 PM

i am looking for oracle 1z0-116 exam
UNITED STATES


S Mallik 11/27/2023 12:32:00 AM

where we can get the answer to the questions
Anonymous


PiPi Li 12/12/2023 8:32:00 PM

nice questions
NETHERLANDS


Dan 8/10/2023 4:19:00 PM

question 129 is completely wrong.
UNITED STATES


gayathiri 7/6/2023 12:10:00 AM

i need dump
UNITED STATES


Deb 8/15/2023 8:28:00 PM

love the site.
UNITED STATES


Michelle 6/23/2023 4:08:00 AM

can you please upload it back?
Anonymous


Ajay 10/3/2023 12:17:00 PM

could you please re-upload this exam? thanks a lot!
Anonymous