ARDMS AE-Adult-Echocardiography Exam (page: 3)
ARDMS AE Adult Echocardiographyination
Updated on: 31-Mar-2026

Which artery is identified by the arrow on this image?

  1. Left common carotid
  2. Brachiocephalic
  3. Left subclavian
  4. Right common carotid

Answer(s): B

Explanation:

The image is a suprasternal or high parasternal echocardiographic view of the aortic arch and its branches. The arrow points to the first large branch arising from the aortic arch, which is the brachiocephalic artery (also called the innominate artery). This vessel courses superiorly and bifurcates into the right common carotid and right subclavian arteries.

The left common carotid artery is the second branch from the arch, the left subclavian artery is the third branch, and the right common carotid is a branch of the brachiocephalic artery, not directly off the arch.

This anatomic arrangement and its echocardiographic depiction are well documented in adult
12:ASE Vascular Imaging echocardiography references and vascular ultrasound guidelines

16:Textbook of Clinical Echocardiography, 6ep.400-405.
Guidelinesp.270-275



Which condition is most plausible based on the finding indicated by the arrow on this image?

  1. Cardiac tamponade
  2. Constrictive pericarditis
  3. Pulmonary embolism
  4. Pulmonary hypertension

Answer(s): B

Explanation:

The image is a parasternal long axis M-mode echocardiographic tracing demonstrating the interventricular septum and posterior left ventricular wall. The arrow points to the septal "bounce" or "shudder," which is an abnormal early diastolic septal motion.

This septal bounce is a classic echocardiographic finding in constrictive pericarditis, caused by rapid early diastolic filling with abrupt cessation due to pericardial constraint, resulting in paradoxical septal motion.

Cardiac tamponade usually shows pericardial effusion with chamber collapse but not septal bounce. Pulmonary embolism and pulmonary hypertension have different echocardiographic signs such as right ventricular dilatation and pressure overload but no septal bounce.

These features are well described in the "Textbook of Clinical Echocardiography" and ASE pericardial
16:Textbook of Clinical Echocardiography, 6ep.280-28512:ASE Pericardial disease guidelines

.
Disease Guidelinesp.300-305



Which valvular pathology is illustrated in this left heart pressure tracing?

  1. Mitral stenosis
  2. Aortic stenosis
  3. Mitral regurgitation
  4. Aortic regurgitation

Answer(s): A

Explanation:

Comprehensive and Detailed Explanation From Exact Extract:

The pressure tracing shows left atrial (LA), left ventricular (LV), and aortic (AO) pressures over time. The key feature is the large pressure gradient between the LA and LV during diastole (arrow pointing at early diastolic phase), where the LA pressure is elevated and there is a delayed, gradual rise in LV pressure during diastolic filling. This finding is typical of mitral stenosis, where obstruction at the mitral valve causes increased LA pressure and a pressure gradient between LA and LV during diastole.

In aortic stenosis, the pressure gradient is primarily between LV and AO during systole. Mitral regurgitation shows elevated LA pressure but not a diastolic gradient. Aortic regurgitation shows elevated LV diastolic pressure with aortic diastolic pressure falling.

These characteristic hemodynamic patterns are described in clinical cardiology and echocardiography literature and hemodynamic references such as the "Textbook of Clinical Echocardiography" and
16:Textbook of Clinical Echocardiography, 6ep.360-
cardiac catheterization textbooks

12:Hemodynamic Textsp.50-60.



An intravenous drug user presents with a fever of unknown origin, flu-like symptoms, dyspnea, and chest pain.
Which ultrasound finding is mostly likely associated with this presentation?

  1. Aortic dissection
  2. Hypertrophic cardiomyopathy
  3. Mitral valve prolapse
  4. Endocarditis

Answer(s): D

Explanation:

Intravenous drug use is a major risk factor for infective endocarditis, particularly involving the tricuspid valve and sometimes left-sided valves. Symptoms like fever, flu-like illness, dyspnea, and chest pain suggest possible septic emboli or valve destruction.

Echocardiographic findings associated with endocarditis include mobile echogenic masses attached to valve leaflets (vegetations), valve thickening, or destruction. These findings are diagnostic and guide treatment.

Aortic dissection, hypertrophic cardiomyopathy, and mitral valve prolapse can present with different clinical features and echocardiographic findings not consistent with infectious vegetations.

These clinical and echocardiographic correlations are detailed in the ASE guidelines on infective
16:Textbook of Clinical endocarditis and the "Textbook of Clinical Echocardiography"

12:ASE Infective Endocarditis Guidelinesp.380-390.
Echocardiography, 6ep.470-475



Which finding is associated with coarctation of the aorta?

  1. Atrial septal defect
  2. Ventricular septal defect
  3. Left ventricular hypertrophy
  4. Right ventricular hypertrophy

Answer(s): C

Explanation:

Comprehensive and Detailed Explanation From Exact Extract:

Coarctation of the aorta (CoA) causes obstruction of blood flow in the descending aorta leading to increased afterload on the left ventricle. This pressure overload results in left ventricular hypertrophy (LVH) as the heart compensates for the increased resistance.

Atrial septal defect and ventricular septal defect are separate congenital defects not necessarily associated with CoA. Right ventricular hypertrophy occurs mainly with pulmonary hypertension or right heart pressure overload.

LVH is a well-recognized echocardiographic finding in CoA and is used to assess severity and chronic effects of the lesion in adult echocardiography references and ASE congenital heart disease
16:Textbook of Clinical Echocardiography, 6ep.550-55512:ASE Congenital guidelines.
Guidelinesp.410-420



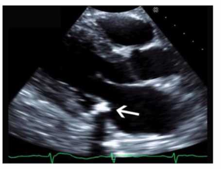
Which echogenic structure is indicated by the arrow on this image?

  1. Vegetation
  2. Tumor
  3. Thrombus
  4. Annular calcification

Answer(s): D

Explanation:

The image is a parasternal long-axis echocardiographic view focusing on the mitral valve annulus with a highly echogenic, dense, and well-defined structure located at the base of the posterior mitral leaflet. This appearance is characteristic of mitral annular calcification (MAC), a degenerative process resulting in calcium deposition along the mitral valve annulus.

Vegetations appear as irregular, mobile masses attached to valve leaflets and are less dense. Tumors and thrombi have different echogenicity and locations (tumors often in atria, thrombi in atrial appendages). MAC is usually more echogenic and localized to the annulus.

This description and differentiation are found in adult echocardiography textbooks and ASE
16:Textbook of Clinical Echocardiography,
guidelines on cardiac masses and valvular calcifications

12:ASE Guidelines on Cardiac Massesp.150-160.
6ep.460-465



Which technique best determines a trileaflet aortic valve from a bicuspid aortic valve?

  1. Visualize all three leaflets simultaneously during systole
  2. Visualize all three leaflets simultaneously during diastole
  3. Use pulsed wave Doppler to demonstrate normal flow velocity
  4. Use continuous wave Doppler to demonstrate normal flow velocity

Answer(s): B

Explanation:

The most reliable technique to distinguish a trileaflet aortic valve from a bicuspid valve is to visualize all three leaflets simultaneously during diastole when the valve is closed. During diastole, the aortic valve leaflets coapt, and the three cusps form a characteristic "Y-shaped" or "Mercedes-Benz" sign on short-axis echocardiographic views, clearly demonstrating the number of leaflets.

Visualization during systole is less reliable because the valve is open, and the leaflets are moving rapidly. Doppler techniques (pulsed or continuous wave) assess flow velocities but do not definitively determine leaflet number, only stenosis severity.

This approach is well documented in adult echocardiography textbooks and ASE valvular imaging guidelines, which emphasize the diastolic short-axis view for valve morphology
16:Textbook of Clinical Echocardiography, 6ep.190-19512:ASE Valve Imaging assessment.
Guidelinesp.180-185



Which congenital abnormality is most consistent with the findings in this video?

  1. Patent foramen ovale
  2. Ventricular septal defect
  3. Ebstein anomaly
  4. Eisenmenger syndrome

Answer(s): C

Explanation:

The video shows an apical four-chamber or subcostal echocardiographic view demonstrating a markedly enlarged right atrium with atrialization of part of the right ventricle, displacement of the tricuspid valve septal leaflet downward into the RV cavity, and severe tricuspid regurgitation. These findings are hallmark features of Ebstein anomaly, a congenital malformation of the tricuspid valve causing apical displacement of the septal and posterior leaflets.

Patent foramen ovale and ventricular septal defects have different echocardiographic features without tricuspid leaflet displacement. Eisenmenger syndrome refers to advanced pulmonary hypertension due to shunts but is not a specific congenital structural abnormality.

These diagnostic criteria and echocardiographic hallmarks are described in adult congenital heart
16:Textbook of Clinical Echocardiography,
disease literature and echocardiography textbooks

12:ASE Adult Congenital Guidelinesp.400-405.
6ep.570-575



Viewing Page 3 of 19



Share your comments for ARDMS AE-Adult-Echocardiography exam with other users:

Divya 8/2/2023 6:54:00 AM

need more q&a to go ahead
Anonymous


Rakesh 10/6/2023 3:06:00 AM

question 59 - a newly-created role is not assigned to any user, nor granted to any other role. answer is b https://docs.snowflake.com/en/user-guide/security-access-control-overview
Anonymous


Nik 11/10/2023 4:57:00 AM

just passed my exam today. i saw all of these questions in my text today. so i can confirm this is a valid dump.
HONG KONG


Deep 6/12/2023 7:22:00 AM

needed dumps
INDIA


tumz 1/16/2024 10:30:00 AM

very helpful
UNITED STATES


NRI 8/27/2023 10:05:00 AM

will post once the exam is finished
UNITED STATES


kent 11/3/2023 10:45:00 AM

relevant questions
Anonymous


Qasim 6/11/2022 9:43:00 AM

just clear exam on 10/06/2202 dumps is valid all questions are came same in dumps only 2 new questions total 46 questions 1 case study with 5 question no lab/simulation in my exam please check the answers best of luck
Anonymous


Cath 10/10/2023 10:09:00 AM

q.112 - correct answer is c - the event registry is a module that provides event definitions. answer a - not correct as it is the definition of event log
VIET NAM


Shiji 10/15/2023 1:31:00 PM

good and useful.
INDIA


Ade 6/25/2023 1:14:00 PM

good questions
Anonymous


Praveen P 11/8/2023 5:18:00 AM

good content
UNITED STATES


Anastasiia 12/28/2023 9:06:00 AM

totally not correct answers. 21. you have one gcp account running in your default region and zone and another account running in a non-default region and zone. you want to start a new compute engine instance in these two google cloud platform accounts using the command line interface. what should you do? correct: create two configurations using gcloud config configurations create [name]. run gcloud config configurations activate [name] to switch between accounts when running the commands to start the compute engine instances.
Anonymous


Priyanka 7/24/2023 2:26:00 AM

kindly upload the dumps
Anonymous


Nabeel 7/25/2023 4:11:00 PM

still learning
Anonymous


gure 7/26/2023 5:10:00 PM

excellent way to learn
UNITED STATES


ciken 8/24/2023 2:55:00 PM

help so much
Anonymous


Biswa 11/20/2023 9:28:00 AM

understand sql col.
Anonymous


Saint Pierre 10/24/2023 6:21:00 AM

i would give 5 stars to this website as i studied for az-800 exam from here. it has all the relevant material available for preparation. i got 890/1000 on the test.
Anonymous


Rose 7/24/2023 2:16:00 PM

this is nice.
Anonymous


anon 10/15/2023 12:21:00 PM

q55- the ridac workflow can be modified using flow designer, correct answer is d not a
UNITED STATES


NanoTek3 6/13/2022 10:44:00 PM

by far this is the most accurate exam dumps i have ever purchased. all questions are in the exam. i saw almost 90% of the questions word by word.
UNITED STATES


eriy 11/9/2023 5:12:00 AM

i cleared the az-104 exam by scoring 930/1000 on the exam. it was all possible due to this platform as it provides premium quality service. thank you!
UNITED STATES


Muhammad Rawish Siddiqui 12/8/2023 8:12:00 PM

question # 232: accessibility, privacy, and innovation are not data quality dimensions.
SAUDI ARABIA


Venkat 12/27/2023 9:04:00 AM

looks wrong answer for 443 question, please check and update
Anonymous


Varun 10/29/2023 9:11:00 PM

great question
Anonymous


Doc 10/29/2023 9:36:00 PM

question: a user wants to start a recruiting posting job posting. what must occur before the posting process can begin? 3 ans: comment- option e is incorrect reason: as part of enablement steps, sap recommends that to be able to post jobs to a job board, a user need to have the correct permission and secondly, be associated with one posting profile at minimum
UNITED KINGDOM


It‘s not A 9/17/2023 5:31:00 PM

answer to question 72 is d [sys_user_role]
Anonymous


indira m 8/14/2023 12:15:00 PM

please provide the pdf
UNITED STATES


ribrahim 8/1/2023 6:05:00 AM

hey guys, just to let you all know that i cleared my 312-38 today within 1 hr with 100 questions and passed. thank you so much brain-dumps.net all the questions that ive studied in this dump came out exactly the same word for word "verbatim". you rock brain-dumps.net!!! section name total score gained score network perimeter protection 16 11 incident response 10 8 enterprise virtual, cloud, and wireless network protection 12 8 application and data protection 13 10 network défense management 10 9 endpoint protection 15 12 incident d
SINGAPORE


Andrew 8/23/2023 6:02:00 PM

very helpful
Anonymous


latha 9/7/2023 8:14:00 AM

useful questions
GERMANY


ibrahim 11/9/2023 7:57:00 AM

page :20 https://exam-dumps.com/snowflake/free-cof-c02-braindumps.html?p=20#collapse_453 q 74: true or false: pipes can be suspended and resumed. true. desc.: pausing or resuming pipes in addition to the pipe owner, a role that has the following minimum permissions can pause or resume the pipe https://docs.snowflake.com/en/user-guide/data-load-snowpipe-intro
FINLAND


Franklin Allagoa 7/5/2023 5:16:00 AM

i want hcia exam dumps
Anonymous