ARDMS AE Adult Echocardiographyination AE-Adult-Echocardiography Exam Questions in PDF

Free ARDMS AE-Adult-Echocardiography Dumps Questions (page: 2)

Which of the following are key features of an unrepaired tetralogy of Fallot?

  1. Displaced tricuspid valve, atrialization of the right ventricle, severe tricuspid regurgitation, and a secundum atrial septal defect
  2. Supravalvular mitral valvular ring, subaortic membrane, bicuspid aortic valve, and aortic coarctation
  3. Inlet ventricular septal defect, common atrioventricular valve, atrioventricular valve regurgitation, and primum atrial septal defect
  4. Outlet ventricular septal defect, overriding aorta, right ventricular outflow tract obstruction, and right ventricular hypertrophy

Answer(s): D

Explanation:

Comprehensive and Detailed Explanation From Exact Extract:

Tetralogy of Fallot (TOF) is a congenital heart defect characterized by four key anatomical abnormalities: an outlet (malalignment) ventricular septal defect (VSD), an overriding aorta that receives blood from both ventricles, right ventricular outflow tract (RVOT) obstruction (commonly infundibular stenosis), and resultant right ventricular hypertrophy. These defects cause cyanosis due to right-to-left shunting and impaired pulmonary blood flow.

Option A describes Ebstein anomaly, characterized by a displaced tricuspid valve and atrialization of the right ventricle.

Option B describes features more consistent with Shone complex or other left heart obstructive lesions.

Option C describes atrioventricular septal defect (AVSD), seen in conditions like Down syndrome.

In unrepaired TOF, echocardiography demonstrates the large malalignment VSD, overriding aorta, RVOT obstruction, and hypertrophied right ventricle. These are classic textbook findings described in adult and pediatric echocardiography literature, including "Textbook of Clinical Echocardiography"
16:Textbook of Clinical
(Chapter on Congenital Heart Disease) and ASE guidelines

12:ASE Adult Congenital Guidelinesp.400-410.
Echocardiography, 6ep.560-565



The 'P' wave of an electrocardiogram relates to which echocardiography event?

  1. Atrial contraction
  2. Ventricular contraction
  3. Atrial relaxation
  4. Ventricular diastole

Answer(s): A

Explanation:

Comprehensive and Detailed Explanation From Exact Extract:

The P wave on the ECG corresponds to atrial depolarization, which precedes atrial contraction (atrial systole). On echocardiography, atrial contraction can be observed as the atrial "kick," contributing to ventricular filling during late diastole.

Ventricular contraction (QRS complex) and ventricular relaxation (T wave) correspond to other phases of the cardiac cycle. Atrial relaxation occurs during ventricular systole but is not represented by the P wave.

This timing relationship is critical for correlating echocardiographic Doppler inflow patterns, such as the late diastolic A wave, with the ECG. These concepts are outlined in the foundational echocardiography references, including ASE guidelines and the "Textbook of Clinical
16:Textbook of Clinical Echocardiography, 6ep.150-15512:ASE Echocardiography".
Echocardiography Guidelinesp.50-55



Which condition is commonly associated with cardiac tamponade?

  1. Decreased jugular venous pressure
  2. Bradycardia
  3. Hypertension
  4. Hypotension

Answer(s): D

Explanation:

Comprehensive and Detailed Explanation From Exact Extract:

Cardiac tamponade occurs when fluid accumulation in the pericardial space increases intrapericardial pressure, restricting ventricular filling and reducing cardiac output. A hallmark clinical feature is hypotension due to decreased stroke volume and cardiac output.

Jugular venous pressure is typically elevated (not decreased) because of impaired right heart filling. Tachycardia, not bradycardia, is usually present as a compensatory response. Blood pressure tends to be low or normal, not hypertensive.

This pathophysiology and clinical presentation are well documented in adult echocardiography literature and clinical cardiology textbooks, where tamponade is diagnosed with signs such as right atrial and ventricular diastolic collapse and associated clinical hypotension and elevated venous
16:Textbook of Clinical Echocardiography, 6ep.280-28512:ASE Pericardial Disease pressures.
Guidelinesp.300-305



Where would a Swan-Ganz catheter be best visualized?

  1. Left ventricular outflow tract
  2. Pulmonary veins
  3. Descending aorta
  4. Right ventricular outflow tract

Answer(s): D

Explanation:

Comprehensive and Detailed Explanation From Exact Extract:

A Swan-Ganz catheter (pulmonary artery catheter) is inserted via the venous system into the right atrium, right ventricle, and then into the pulmonary artery. The catheter passes through the right ventricular outflow tract (RVOT) before entering the pulmonary artery.

Therefore, echocardiographic visualization of the Swan-Ganz catheter is best achieved in the right ventricular outflow tract or main pulmonary artery, often seen as an echogenic linear structure.

It would not be found in the left ventricular outflow tract (aortic valve region), pulmonary veins, or descending aorta as these are on the left heart or arterial side and not part of the catheter's path.

This is a well-known anatomical fact described in echocardiography procedural references and
16:Textbook of Clinical Echocardiography,
clinical guidelines on invasive hemodynamic monitoring

12:ASE Invasive Monitoring Guidelinesp.450-455.
6ep.310-315



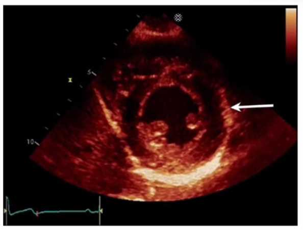
Which left ventricular regional wall segment is indicated by the arrow on this image?

  1. Anterior
  2. Anterolateral
  3. Inferior
  4. Inferolateral

Answer(s): C

Explanation:

Comprehensive and Detailed Explanation From Exact Extract:

The echocardiographic image shows a short-axis view of the left ventricle at the mid-papillary muscle level with segmental strain values. The arrow points to the wall segment located inferiorly (towards the bottom of the image in standard orientation), which corresponds to the inferior wall of the left ventricle.

According to the standardized 17-segment model endorsed by the American Society of

Echocardiography (ASE), the inferior wall is situated posteriorly and inferiorly in the short-axis view. The other options represent adjacent walls: anterior is opposite the inferior wall, anterolateral and inferolateral correspond to lateral wall segments.

This segmental anatomy and nomenclature are detailed in adult echocardiography textbooks and ASE chamber quantification guidelines, which emphasize precise segmental identification for
12:ASE Chamber Quantification Guidelinesp.90-
accurate regional function assessment

16:Textbook of Clinical Echocardiography, 6ep.140-145.



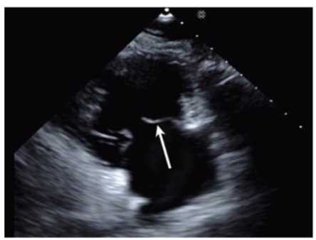
Which anatomic structure is represented by the arrow on this image?

  1. Left leaflet
  2. Posterior leaflet
  3. Septal leaflet
  4. Anterior leaflet

Answer(s): D

Explanation:

The echocardiographic image is a four-chamber view focusing on the mitral valve apparatus. The arrow points to the anterior leaflet of the mitral valve, which is typically more prominent, triangular in shape, and located adjacent to the aortic valve in the left ventricular outflow tract region.

The posterior leaflet of the mitral valve is generally smaller, has multiple scallops, and is located posteriorly relative to the anterior leaflet. The septal leaflet is part of the tricuspid valve on the right side of the heart. The "left leaflet" is a non-specific term and not an anatomical descriptor.

This differentiation between anterior and posterior leaflets is important for understanding mitral valve pathology and for interventions such as mitral valve repair. These features are clearly explained
12:ASE Valve Imaging in echocardiography texts and ASE valve imaging guidelines

16:Textbook of Clinical Echocardiography, 6ep.200-205.
Guidelinesp.180-185



Which condition is most likely suggested by an apically sparing "cherry on top" left ventricular strain pattern?

  1. Athlete's heart
  2. Amyloidosis
  3. Hypertension
  4. Hypertrophic cardiomyopathy

Answer(s): B

Explanation:

The apical sparing pattern of global longitudinal strain (GLS) is a characteristic echocardiographic finding in cardiac amyloidosis. This pattern appears as a relative preservation of longitudinal strain in the apical segments compared to markedly reduced strain in basal and mid-ventricular segments, resulting in a "cherry on top" bullseye plot appearance.

This distinctive pattern helps differentiate amyloidosis from other causes of left ventricular hypertrophy and dysfunction, such as hypertensive heart disease, hypertrophic cardiomyopathy, or athlete's heart, which generally show more uniform or different regional strain impairments.

This diagnostic feature has been validated in numerous studies and is included in the ASE guidelines on strain imaging and the "Textbook of Clinical Echocardiography," providing a sensitive and specific
12:ASE Strain Imaging noninvasive marker for amyloid infiltration of the myocardium

16:Textbook of Clinical Echocardiography, 6ep.320-325.
Guidelinesp.130-140



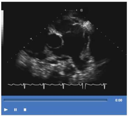
Which vessel is indicated by the arrow on this video?

  1. Right upper pulmonary vein
  2. Left upper pulmonary vein
  3. Right pulmonary artery
  4. Left pulmonary artery

Answer(s): A

Explanation:

The video shows a transthoracic echocardiographic apical four-chamber or modified view focusing on the left atrium and adjacent structures. The arrow points to a vessel entering the left atrium from the right side of the image, which corresponds anatomically to the right upper pulmonary vein. The right upper pulmonary vein returns oxygenated blood from the right lung to the left atrium and is visualized in echocardiography as entering the superior-lateral aspect of the left atrium.

The left upper pulmonary vein enters the left atrium on the opposite side. The right and left pulmonary arteries are located anteriorly and superiorly in the mediastinum and are visualized mainly in the parasternal or suprasternal views, not the apical four-chamber.

This identification aligns with standard adult echocardiography anatomy as described in the
12:ASE
"Textbook of Clinical Echocardiography" and ASE guidelines on pulmonary vein imaging

16:Textbook of Clinical Echocardiography,
Pulmonary Vein Imaging Guidelinesp.110-115.
6ep.120-125



Share your comments for ARDMS AE-Adult-Echocardiography exam with other users:

A
AJ
9/24/2023 9:32:00 AM

hi please upload sre foundation and practitioner exam questions

P
peter parker
8/10/2023 10:59:00 AM

the exam is listed as 80 questions with a pass mark of 70%, how is your 50 questions related?

B
Berihun
7/13/2023 7:29:00 AM

all questions are so important and covers all ccna modules

N
nspk
1/19/2024 12:53:00 AM

q 44. ans:- b (goto setup > order settings > select enable optional price books for orders) reference link --> https://resources.docs.salesforce.com/latest/latest/en-us/sfdc/pdf/sfom_impl_b2b_b2b2c.pdf(decide whether you want to enable the optional price books feature. if so, select enable optional price books for orders. you can use orders in salesforce while managing price books in an external platform. if you’re using d2c commerce, you must select enable optional price books for orders.)

M
Muhammad Rawish Siddiqui
12/2/2023 5:28:00 AM

"cost of replacing data if it were lost" is also correct.

A
Anonymous
7/14/2023 3:17:00 AM

pls upload the questions

M
Mukesh
7/10/2023 4:14:00 PM

good questions

E
Elie Abou Chrouch
12/11/2023 3:38:00 AM

question 182 - correct answer is d. ethernet frame length is 64 - 1518b. length of user data containing is that frame: 46 - 1500b.

D
Damien
9/23/2023 8:37:00 AM

i need this exam pls

N
Nani
9/10/2023 12:02:00 PM

its required for me, please make it enable to access. thanks

E
ethiopia
8/2/2023 2:18:00 AM

seems good..

W
whoAreWeReally
12/19/2023 8:29:00 PM

took the test last week, i did have about 15 - 20 word for word from this site on the test. (only was able to cram 600 of the questions from this site so maybe more were there i didnt review) had 4 labs, bgp, lacp, vrf with tunnels and actually had to skip a lab due to time. lots of automation syntax questions.

V
vs
9/2/2023 12:19:00 PM

no comments

J
john adenu
11/14/2023 11:02:00 AM

nice questions bring out the best in you.

O
Osman
11/21/2023 2:27:00 PM

really helpful

E
Edward
9/13/2023 5:27:00 PM

question #50 and question #81 are exactly the same questions, azure site recovery provides________for virtual machines. the first says that it is fault tolerance is the answer and second says disater recovery. from my research, it says it should be disaster recovery. can anybody explain to me why? thank you

M
Monti
5/24/2023 11:14:00 PM

iam thankful for these exam dumps questions, i would not have passed without this exam dumps.

A
Anon
10/25/2023 10:48:00 PM

some of the answers seem to be inaccurate. q10 for example shouldnt it be an m custom column?

P
PeterPan
10/18/2023 10:22:00 AM

are the question real or fake?

C
CW
7/11/2023 3:19:00 PM

thank you for providing such assistance.

M
Mn8300
11/9/2023 8:53:00 AM

nice questions

N
Nico
4/23/2023 11:41:00 PM

my 3rd purcahse from this site. these exam dumps are helpful. very helpful.

C
Chere
9/15/2023 4:21:00 AM

found it good

T
Thembelani
5/30/2023 2:47:00 AM

excellent material

V
vinesh phale
9/11/2023 2:51:00 AM

very helpfull

B
Bhagiii
11/4/2023 7:04:00 AM

well explained.

R
Rahul
8/8/2023 9:40:00 PM

i need the pdf, please.

C
CW
7/11/2023 2:51:00 PM

a good source for exam preparation

A
Anchal
10/23/2023 4:01:00 PM

nice questions

J
J Nunes
9/29/2023 8:19:00 AM

i need ielts general training audio guide questions

A
Ananya
9/14/2023 5:16:00 AM

please make this content available

S
Swathi
6/4/2023 2:18:00 PM

content is good

L
Leo
7/29/2023 8:45:00 AM

latest dumps please

L
Laolu
2/15/2023 11:04:00 PM

aside from pdf the test engine software is helpful. the interface is user-friendly and intuitive, making it easy to navigate and find the questions.

AI Tutor 👋 I’m here to help!