ARDMS AE-Adult-Echocardiography Exam (page: 1)
ARDMS AE Adult Echocardiographyination
Updated on: 31-Mar-2026

Which of the following is a feature of constrictive pericarditis?

  1. Mitral inflow pattern has a large E-wave and a small A-wave without respiratory changes
  2. Normal hepatic vein size
  3. Dilated inferior vena cava with inspiratory collapse during sniff test
  4. Interventricular septal bounce

Answer(s): D

Explanation:

Comprehensive and Detailed Explanation From Exact Extract:
Constrictive pericarditis is characterized by thickening and fibrosis of the pericardium which restricts diastolic filling of the ventricles. Key echocardiographic features include a characteristic interventricular septal "bounce" or shift during early diastole due to the abrupt cessation of ventricular filling imposed by the rigid pericardium. This septal bounce reflects rapid early diastolic filling followed by a sudden halt as filling pressures equalize, a hallmark of constriction physiology.

Additionally, Doppler studies show marked respiratory variation in mitral and tricuspid inflow velocities (>25%), with an inspiratory increase in tricuspid inflow and a decrease in mitral inflow velocity, reflecting ventricular interdependence caused by the noncompliant pericardium. The mitral inflow typically shows a large E-wave with a small or absent A-wave and a steep deceleration slope, but importantly these velocities vary significantly with respiration, which is not the case in restrictive cardiomyopathy.

Hepatic vein Doppler often reveals a prominent a-wave and a deep y-descent with increased diastolic flow reversal during expiration, indicating elevated right atrial pressures and constrictive physiology.

The inferior vena cava (IVC) is usually dilated and shows no inspiratory collapse (i.e., no normal collapse with sniff test) because of elevated right atrial pressure and impaired venous return.

Therefore:

Option A is incorrect because mitral inflow in constrictive pericarditis shows significant respiratory variation, not absence of it.

Option B is incorrect because the hepatic vein is typically dilated with abnormal flow patterns, not normal size.

Option C is incorrect because the IVC is dilated and does NOT collapse normally with inspiration/sniff in constrictive pericarditis.

Option D is correct because the interventricular septal bounce is a classic feature reflecting ventricular interdependence and constrictive physiology.

These findings are summarized in the "Textbook of Clinical Echocardiography, 6e" (Catherine M. Otto, MD), Chapter 10 (Pericardial Disease), pages 280­285, with key illustrations showing septal bounce, Doppler inflow variations, hepatic vein flow patterns, and IVC findings in constrictive pericarditis. The "Mayo Clinic criteria" for echocardiographic diagnosis also emphasize ventricular septal shift as a critical feature, often combined with tissue Doppler annular velocity patterns and hepatic vein diastolic flow reversal for high diagnostic accuracy.



Which syndrome is associated with pulmonic stenosis?

  1. Turner
  2. Eisenmenger
  3. Noonan
  4. Marfan

Answer(s): C

Explanation:

Pulmonic stenosis is a congenital valve abnormality often seen in genetic syndromes with cardiac manifestations. Among these, Noonan syndrome is the most frequently associated with pulmonic stenosis. Noonan syndrome is a genetic disorder characterized by distinctive facial features, short stature, and congenital heart defects, with pulmonic valve stenosis being the predominant cardiac lesion. The stenosis is usually valvular and caused by dysplastic pulmonary valve leaflets, leading to obstruction of right ventricular outflow.

Other syndromes listed do not typically present with pulmonic stenosis:

Turner syndrome is more commonly linked with bicuspid aortic valve and coarctation of the aorta, not pulmonic stenosis.

Eisenmenger syndrome refers to the advanced phase of congenital heart defects with significant pulmonary hypertension and is not a genetic syndrome.

Marfan syndrome is predominantly associated with aortic root dilation and mitral valve prolapse, but not with pulmonic stenosis.

This association is well documented in adult echocardiography guidelines and texts, such as the "Textbook of Clinical Echocardiography" by Catherine Otto, which clearly identifies Noonan syndrome as the syndrome most commonly associated with pulmonic stenosis among congenital heart
16:Chapter on Congenital Heart DiseaseTextbook of Clinical Echocardiography, 6e.
defects



Which diagnosis is most consistent with the findings in these images?



  1. Takotsubo cardiomyopathy
  2. Apical hypertrophic cardiomyopathy
  3. Hypertrophic obstructive cardiomyopathy
  4. Restrictive cardiomyopathy from amyloidosis

Answer(s): A

Explanation:

The first image shows a bullseye plot of global longitudinal strain (GLS) with marked reduction in strain values (less negative numbers) most prominently in the apical segments (central red zone), with an overall GLS of -8.2% (normal is about -20%) and a reduced ejection fraction of 41%. This pattern is characteristic of Takotsubo cardiomyopathy, which typically demonstrates regional wall motion abnormalities that predominantly involve the apex and mid segments of the left ventricle with basal sparing.

The 2D echocardiographic images show apical ballooning, a hallmark of Takotsubo cardiomyopathy, where the apex is akinetic or dyskinetic and the basal segments contract normally or hypercontract.

Doppler images show findings consistent with impaired ventricular function.

In contrast:

Apical hypertrophic cardiomyopathy (HCM) would show increased wall thickness localized to the apex but not apical ballooning or reduced strain in that typical pattern.

Hypertrophic obstructive cardiomyopathy (HOCM) involves basal septal hypertrophy with outflow obstruction, not apical akinesis or ballooning.

Restrictive cardiomyopathy from amyloidosis involves diffuse infiltration and generally a different strain pattern with more uniform reduction and "apical sparing" rather than apical involvement.

This interpretation aligns with the diagnostic criteria and echocardiographic features described in the adult echocardiography literature, including the "Textbook of Clinical Echocardiography" (Chapter on Cardiomyopathies) and ASE guidelines, which highlight apical ballooning and regional strain
16:Cardiomyopathy abnormalities as diagnostic features of Takotsubo cardiomyopathy

12:ASE Guidelines on Strain Imagingp.130-
ChapterTextbook of Clinical Echocardiography, 6e



Which of the following does this Image represent?

  1. Mitral valve inflow
  2. Tricuspid valve inflow
  3. Hepatic vein Doppler
  4. Pulmonary vein Doppler

Answer(s): C

Explanation:

Comprehensive and Detailed Explanation From Exact Extract:

The image shows a pulsed-wave Doppler waveform with respiratory phasicity and distinct forward and reversed flow components characteristic of hepatic vein flow patterns. Hepatic vein Doppler typically displays a biphasic waveform with systolic (S) and diastolic (D) forward flow toward the heart and brief reversed flow during atrial contraction (A wave reversal), reflecting right atrial pressure changes.

Mitral and tricuspid inflow Doppler patterns show distinct E and A waves representing early and late diastolic ventricular filling but do not have the same flow reversal pattern. Pulmonary vein Doppler waveforms also differ, showing systolic and diastolic forward flows into the left atrium without the prominent reversed flow seen here.

The hepatic vein Doppler is commonly used in echocardiography to assess right atrial pressure and compliance, especially in conditions like constrictive pericarditis and right heart failure, where characteristic flow reversals and expiratory changes are observed.

This pattern and its clinical significance are detailed in adult echocardiography references, including
16:Hepatic the "Textbook of Clinical Echocardiography" and ASE guidelines on Doppler imaging

12:ASE Doppler Guidelinesp.95-100.
Vein DopplerTextbook of Clinical Echocardiography, 6e



Which view is most appropriate for measuring right ventricular dimensions?

  1. Subcostal four-chamber
  2. Parasternal short axis at the base
  3. Apical lateral right ventricular-focused
  4. Parasternal long axis

Answer(s): C

Explanation:

The most appropriate echocardiographic view to measure right ventricular (RV) dimensions is the apical four-chamber view with a right ventricular-focused modification. This RV-focused apical four- chamber view is optimized by shifting the transducer laterally and slightly anteriorly to better visualize the entire right ventricle in a single plane. This approach allows for accurate assessment of RV basal and mid cavity diameters, RV longitudinal dimension, and RV area measurements.

The standard apical four-chamber view often underestimates RV size because of its complex geometry and position in the chest. The subcostal four-chamber view may give some information on RV size but is limited by image quality and angle. Parasternal short axis views at the base focus more on the left ventricle and may not capture the entire RV adequately. Parasternal long axis views primarily visualize the left heart structures and do not adequately show the RV.

Adult echocardiography guidelines, including the American Society of Echocardiography (ASE) chamber quantification recommendations, endorse the RV-focused apical four-chamber view as the standard for RV linear measurements and volume assessment due to its accuracy and
12:ASE Chamber Quantification Guidelinesp.80-8516:Textbook of Clinical reproducibility

.
Echocardiography, 6eChapter on RV Assessment



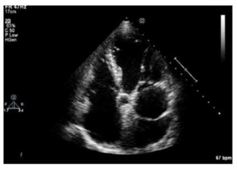
Which finding is shown in this image?

  1. Chiari network
  2. Left atrial thrombus
  3. Cor triatriatum
  4. Artifact

Answer(s): A

Explanation:

The echocardiographic image shows a mobile, highly echogenic, mesh-like structure within the right atrium consistent with the Chiari network. The Chiari network is an embryologic remnant of the right valve of the sinus venosus, appearing as a fenestrated, reticulated membrane that is usually thin and mobile, found near the orifice of the inferior vena cava or the coronary sinus.

This structure is benign and often an incidental finding but can be confused with thrombus or atrial tumors. Unlike left atrial thrombus, which appears as a more solid, immobile mass often located in the left atrial appendage, the Chiari network is mobile and located in the right atrium. Cor triatriatum is a rare congenital membrane dividing the left atrium into two chambers and appears differently on echocardiography. Artifact refers to non-anatomic echoes which do not persist or move consistently.

Recognition of Chiari network is important to avoid misdiagnosis, and its characteristics are well described in echocardiography literature such as the "Textbook of Clinical Echocardiography" and ASE
16:Textbook of Clinical Echocardiography, 6ep.400-40212:ASE Guidelines imaging guidelines.
on Cardiac Massesp.150-155



Which is the most likely abnormality represented in these images from a 48-year-old man with shortness of breath?



  1. Loeffler syndrome
  2. Hypertrophic cardiomyopathy
  3. Left ventricular noncompaction
  4. Ischemic cardiomyopathy

Answer(s): C

Explanation:

The echocardiographic images show prominent trabeculations and deep intertrabecular recesses communicating with the left ventricular cavity, best seen on contrast-enhanced images. This finding is characteristic of left ventricular noncompaction (LVNC), a cardiomyopathy resulting from arrested myocardial compaction during embryogenesis.

LVNC is diagnosed by visualizing a two-layered myocardium with a thin compacted epicardial layer and a thicker noncompacted endocardial layer with deep trabecular recesses. The use of contrast echocardiography enhances endocardial border delineation and recess visualization, increasing diagnostic accuracy.

Loeffler syndrome (hypereosinophilic cardiomyopathy) often shows endomyocardial fibrosis and restrictive physiology but not prominent trabeculations. Hypertrophic cardiomyopathy shows asymmetric septal hypertrophy without deep recesses. Ischemic cardiomyopathy shows wall motion abnormalities but not characteristic trabecular patterns.

These diagnostic criteria and imaging features are well documented in the "Textbook of Clinical
16:Textbook
Echocardiography" and ASE guidelines on cardiomyopathies and use of contrast echo

12:ASE Contrast of Clinical Echocardiography, 6eChapter on LV Noncompaction.
Echocardiography Guidelinesp.180-190



The variables necessary to calculate mitral regurgitant (MR) effective orifice area by the proximal isovelocity surface area (PISA) equation include MR aliasing hemispheric radius, the aliasing velocity, and which other parameter?

  1. Mitral annular diameter
  2. Time velocity integral of pulsed wave at mitral annulus
  3. Maximum mitral regurgitant velocity
  4. Left ventricular outflow tract diameter

Answer(s): C

Explanation:

The proximal isovelocity surface area (PISA) method estimates the effective regurgitant orifice area (EROA) in mitral regurgitation by measuring the radius of the hemispheric flow convergence region (aliasing radius) and incorporating the aliasing velocity and the peak velocity of the MR jet.

The equation for EROA is:

EROA = (2 × r² × Va) / Vmax

Where:

r = radius of the PISA hemisphere (aliasing radius)

Va = aliasing velocity (the velocity at which color aliasing occurs)

Vmax = peak MR velocity obtained by continuous wave Doppler

This calculation does not involve the mitral annular diameter, time velocity integral of mitral annulus, or left ventricular outflow tract diameter.

Thus, the third necessary parameter after aliasing radius and velocity is the maximum MR velocity measured by continuous wave Doppler, which allows determination of flow rate through the regurgitant orifice.

This formula and its clinical application are well established in adult echocardiography literature and 12:ASE Valvular Regurgitation Guidelinesp.210-ASE valvular regurgitation guidelines

16:Textbook of Clinical Echocardiography, 6eChapter on Mitral Regurgitation .
Assessment



Viewing Page 1 of 19



Share your comments for ARDMS AE-Adult-Echocardiography exam with other users:

anonymous 9/20/2023 11:27:00 PM

hye when will post again the past year question for this h13-311_v3 part since i have to for my test tommorow…thank you very much
Anonymous


Randall 9/28/2023 8:25:00 PM

on question 22, option b-once per session is also valid.
Anonymous


Tshegofatso 8/28/2023 11:51:00 AM

this website is very helpful
SOUTH AFRICA


philly 9/18/2023 2:40:00 PM

its my first time exam
SOUTH AFRICA


Beexam 9/4/2023 9:06:00 PM

correct answers are device configuration-enable the automatic installation of webview2 runtime. & policy management- prevent users from submitting feedback.
NEW ZEALAND


RAWI 7/9/2023 4:54:00 AM

is this dump still valid? today is 9-july-2023
SWEDEN


Annie 6/7/2023 3:46:00 AM

i need this exam.. please upload these are really helpful
PAKISTAN


Shubhra Rathi 8/26/2023 1:08:00 PM

please upload the oracle 1z0-1059-22 dumps
Anonymous


Shiji 10/15/2023 1:34:00 PM

very good questions
INDIA


Rita Rony 11/27/2023 1:36:00 PM

nice, first step to exams
Anonymous


Aloke Paul 9/11/2023 6:53:00 AM

is this valid for chfiv9 as well... as i am reker 3rd time...
CHINA


Calbert Francis 1/15/2024 8:19:00 PM

great exam for people taking 220-1101
UNITED STATES


Ayushi Baria 11/7/2023 7:44:00 AM

this is very helpfull for me
Anonymous


alma 8/25/2023 1:20:00 PM

just started preparing for the exam
UNITED KINGDOM


CW 7/10/2023 6:46:00 PM

these are the type of questions i need.
UNITED STATES


Nobody 8/30/2023 9:54:00 PM

does this actually work? are they the exam questions and answers word for word?
Anonymous


Salah 7/23/2023 9:46:00 AM

thanks for providing these questions
Anonymous


Ritu 9/15/2023 5:55:00 AM

interesting
CANADA


Ron 5/30/2023 8:33:00 AM

these dumps are pretty good.
Anonymous


Sowl 8/10/2023 6:22:00 PM

good questions
UNITED STATES


Blessious Phiri 8/15/2023 2:02:00 PM

dbua is used for upgrading oracle database
Anonymous


Richard 10/24/2023 6:12:00 AM

i am thrilled to say that i passed my amazon web services mls-c01 exam, thanks to study materials. they were comprehensive and well-structured, making my preparation efficient.
Anonymous


Janjua 5/22/2023 3:31:00 PM

please upload latest ibm ace c1000-056 dumps
GERMANY


Matt 12/30/2023 11:18:00 AM

if only explanations were provided...
FRANCE


Rasha 6/29/2023 8:23:00 PM

yes .. i need the dump if you can help me
Anonymous


Anonymous 7/25/2023 8:05:00 AM

good morning, could you please upload this exam again?
SPAIN


AJ 9/24/2023 9:32:00 AM

hi please upload sre foundation and practitioner exam questions
Anonymous


peter parker 8/10/2023 10:59:00 AM

the exam is listed as 80 questions with a pass mark of 70%, how is your 50 questions related?
Anonymous


Berihun 7/13/2023 7:29:00 AM

all questions are so important and covers all ccna modules
Anonymous


nspk 1/19/2024 12:53:00 AM

q 44. ans:- b (goto setup > order settings > select enable optional price books for orders) reference link --> https://resources.docs.salesforce.com/latest/latest/en-us/sfdc/pdf/sfom_impl_b2b_b2b2c.pdf(decide whether you want to enable the optional price books feature. if so, select enable optional price books for orders. you can use orders in salesforce while managing price books in an external platform. if you’re using d2c commerce, you must select enable optional price books for orders.)
Anonymous


Muhammad Rawish Siddiqui 12/2/2023 5:28:00 AM

"cost of replacing data if it were lost" is also correct.
SAUDI ARABIA


Anonymous 7/14/2023 3:17:00 AM

pls upload the questions
UNITED STATES


Mukesh 7/10/2023 4:14:00 PM

good questions
UNITED KINGDOM


Elie Abou Chrouch 12/11/2023 3:38:00 AM

question 182 - correct answer is d. ethernet frame length is 64 - 1518b. length of user data containing is that frame: 46 - 1500b.
Anonymous