USMLE Step2 STEP2 Exam Questions in PDF

Free USMLE STEP2 Dumps Questions (page: 6)

A 70-year-old man presents with shuffling gait, tremor, masked facies, and rigidity which have progressed over the last 9 months. Parkinson's disease is diagnosed. Which of the following is not true about Parkinson's disease?

  1. Over 1 million people in North America have Parkinson's disease.
  2. Mortality is higher in patients with Parkinson's disease when compared to age-matched controls.
  3. The classic triad of major signs of Parkinson's disease is memory loss, rigidity, and akinesia.
  4. The tremor in Parkinson's disease is typically an intention tremor.
  5. Over 90% of patients with Parkinson's disease have a good initial response tolevodopa.

Answer(s): D

Explanation:

Deficiency of dopamine primarily is responsible for the signs and symptoms of Parkinson's disease.
Specifically, the loss of dopamine from the substantia nigra is thought to be primarily responsible for the akinesia and rigidity. Tremor, akinesia, and rigidity are the classic triad of signs seen in Parkinson's disease. The tremor typically is a resting tremor; often a "pill rolling" tremor is seen in the hand. Well over 90% of patients with Parkinson's disease do have a good initial response to levodopa



A 73-year-old man has been experiencing increasing drowsiness and incoherence. He has a history of arrhythmias and has fallen twice in the past 2 weeks. There are no focal deficits on neurologic examination. Acontrast CT scan of the head is shown in the figure below. Which of the following is the treatment of choice?

  1. parenteral antibiotics
  2. antifungal therapy
  3. neurosurgical evacuation of the clot
  4. observation and a repeat CT scan in 1 month
  5. fibrinolytic therapy

Answer(s): C

Explanation:

The CT scan shown in Figure demonstrates a smooth, biconvex lens-shaped mass in the periphery of the right temporoparietal region. This picture is characteristic of a subdural hematoma that is a result of laceration of veins bridging the subdural space. Unlike an epidural hematoma, which expands quickly and progresses rapidly to coma, a subdural hematoma is initially limited in size by increased intracranial pressure and expands slowly. Symptoms may follow the inciting trauma by several weeks. Altered mental status is often more prominent than focal signs and may progress from confusion to stupor to coma.
Treatment consists of evacuation of the clot via burr holes. Antibiotics and antifungal agents have no role, and fibrinolytic therapy or delay in treatment could be harmful.



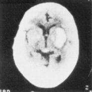
A63-year-old man complains of sudden onset of right-sided headache while at work. He rapidly becomes confused and lethargic. On examination, he is hemiparetic and has bilateral Babinski signs. ACT scan of the head is shown in the figure. What is the patient most likely to have?

  1. an arteriovenous malformation
  2. a carotid occlusion
  3. hypertension
  4. an underlying malignancy
  5. abnormal clotting studies

Answer(s): C

Explanation:

The history and physical examination of the patient described in the question suggest either an intracerebral hemorrhage or a completed ischemic stroke. The CT scan that accompanies the question demonstrates a large hemorrhage in the region of the right basal ganglia with a surrounding zone of edema and narrowing of the ventricle. Patients with intracerebral hemorrhage often have a preceding history of hypertension. Carotid occlusion, malignancy, arteriovenous malformation, and coagulopathy all are much less likely causes of this disorder. In general, only cerebellar hemorrhages and cerebral hemorrhages that are easily reached are surgically evacuated. Most intracerebral hemorrhages are managed with general supportive care.



A 44-year-old man undergoes evaluation for worsening headaches. His posteroanterior and lateral arteriograms are shown in the figure below.Which of the following is the patient most likely to develop?

  1. hypopituitarism
  2. subarachnoid hemorrhage
  3. hypercalcemia
  4. tentorial herniation
  5. chronic meningitis

Answer(s): B

Explanation:

The arteriograms in figure demonstrate a large aneurysm arising from the basilar artery. Intracranial aneurysms occasionally present with new onset or worsening of headaches or may be asymptomatic and found coincidentally during evaluation of an unrelated disorder. Frequently, they leak or rupture, resulting in a subarachnoid hemorrhage with sudden onset of severe headache and meningeal symptoms and signs (e.g., nuchal rigidity, photophobia). Rapid progression to stroke, coma, or death may follow. Intracranial aneurysms are not usually associated with hypercalcemia, hypopituitarism, or chronic meningitis and rarely cause tentorial
herniation without rupturing. Surgical approaches to intracranial aneurysms include excision and ligation.



A 35-year-old pharmacist complains of "hurting all over." Her pain is particularly bad in her upper back and shoulders, and she notes morning stiffness. On examination, her joints are not inflamed, but she has symmetric "tender points" in the posterior neck, anterior chest, lateral buttocks, medial knees, and lateral elbows. You make a preliminary diagnosis of fibromyalgia. Which of the following is another characteristic symptom associated with this syndrome?

  1. sleep disturbance
  2. fever
  3. rash on the extremities
  4. muscle weakness
  5. migratory joint inflammation

Answer(s): A

Explanation:

Sleep disturbance is a characteristic symptom associated with fibromyalgia. Patients awaken feeling tired.
The examination, other than tenderness in 14 specific, symmetrical points, is usually normal. Fever, rash on the extremities, muscle weakness, and migratory joint inflammation point to Lyme disease or other rheumatologic disorders. Asedimentation rate should be normal. If elevated, it may point to another diagnosis. Lyme titers are not indicated unless the patient has symptoms or history suggestive of the disease. Electromyelography and spine radiographs are typically normal and unnecessary for help in establishing the diagnosis.
Depression can be associated with pain, but screening for it early on does not make sense and might offend the patient. Low-dose antidepressants often help to correct the sleep pattern and result in relief of pain. Nonsteroidal anti-inflammatory agents can also be used as needed; low-dose steroid is not indicated.
Exercise is also helpful, and patients should be encouraged to stay physically active. Amoxicillin is not used for fibromyalgia. Benzodiazepines have addictive potential and lose their effectiveness for sleep after a few weeks.



Share your comments for USMLE STEP2 exam with other users:

A
Annie
6/7/2023 3:46:00 AM

i need this exam.. please upload these are really helpful

S
Shubhra Rathi
8/26/2023 1:08:00 PM

please upload the oracle 1z0-1059-22 dumps

S
Shiji
10/15/2023 1:34:00 PM

very good questions

R
Rita Rony
11/27/2023 1:36:00 PM

nice, first step to exams

A
Aloke Paul
9/11/2023 6:53:00 AM

is this valid for chfiv9 as well... as i am reker 3rd time...

C
Calbert Francis
1/15/2024 8:19:00 PM

great exam for people taking 220-1101

A
Ayushi Baria
11/7/2023 7:44:00 AM

this is very helpfull for me

A
alma
8/25/2023 1:20:00 PM

just started preparing for the exam

C
CW
7/10/2023 6:46:00 PM

these are the type of questions i need.

N
Nobody
8/30/2023 9:54:00 PM

does this actually work? are they the exam questions and answers word for word?

S
Salah
7/23/2023 9:46:00 AM

thanks for providing these questions

R
Ritu
9/15/2023 5:55:00 AM

interesting

R
Ron
5/30/2023 8:33:00 AM

these dumps are pretty good.

S
Sowl
8/10/2023 6:22:00 PM

good questions

B
Blessious Phiri
8/15/2023 2:02:00 PM

dbua is used for upgrading oracle database

R
Richard
10/24/2023 6:12:00 AM

i am thrilled to say that i passed my amazon web services mls-c01 exam, thanks to study materials. they were comprehensive and well-structured, making my preparation efficient.

J
Janjua
5/22/2023 3:31:00 PM

please upload latest ibm ace c1000-056 dumps

M
Matt
12/30/2023 11:18:00 AM

if only explanations were provided...

R
Rasha
6/29/2023 8:23:00 PM

yes .. i need the dump if you can help me

A
Anonymous
7/25/2023 8:05:00 AM

good morning, could you please upload this exam again?

A
AJ
9/24/2023 9:32:00 AM

hi please upload sre foundation and practitioner exam questions

P
peter parker
8/10/2023 10:59:00 AM

the exam is listed as 80 questions with a pass mark of 70%, how is your 50 questions related?

B
Berihun
7/13/2023 7:29:00 AM

all questions are so important and covers all ccna modules

N
nspk
1/19/2024 12:53:00 AM

q 44. ans:- b (goto setup > order settings > select enable optional price books for orders) reference link --> https://resources.docs.salesforce.com/latest/latest/en-us/sfdc/pdf/sfom_impl_b2b_b2b2c.pdf(decide whether you want to enable the optional price books feature. if so, select enable optional price books for orders. you can use orders in salesforce while managing price books in an external platform. if you’re using d2c commerce, you must select enable optional price books for orders.)

M
Muhammad Rawish Siddiqui
12/2/2023 5:28:00 AM

"cost of replacing data if it were lost" is also correct.

A
Anonymous
7/14/2023 3:17:00 AM

pls upload the questions

M
Mukesh
7/10/2023 4:14:00 PM

good questions

E
Elie Abou Chrouch
12/11/2023 3:38:00 AM

question 182 - correct answer is d. ethernet frame length is 64 - 1518b. length of user data containing is that frame: 46 - 1500b.

D
Damien
9/23/2023 8:37:00 AM

i need this exam pls

N
Nani
9/10/2023 12:02:00 PM

its required for me, please make it enable to access. thanks

E
ethiopia
8/2/2023 2:18:00 AM

seems good..

W
whoAreWeReally
12/19/2023 8:29:00 PM

took the test last week, i did have about 15 - 20 word for word from this site on the test. (only was able to cram 600 of the questions from this site so maybe more were there i didnt review) had 4 labs, bgp, lacp, vrf with tunnels and actually had to skip a lab due to time. lots of automation syntax questions.

V
vs
9/2/2023 12:19:00 PM

no comments

J
john adenu
11/14/2023 11:02:00 AM

nice questions bring out the best in you.

AI Tutor 👋 I’m here to help!