MRCPUK SEND Exam (page: 7)
MRCPUK SEND - Endocrinology and Diabetes (Specialty Certificate Examination)
Updated on: 25-Dec-2025

Viewing Page 7 of 41

A 56-year-old man with a 5-year history of type 2 diabetes mellitus was worried about developing a foot ulcer. Which clinical feature, if present, best predicts the development of a foot ulcer in a patient with diabetes?

  1. absent foot pulses
  2. absent sensation to a monofilament
  3. history of a previous foot ulcer
  4. inability to perform own foot care
  5. vibration perception threshold >25v

Answer(s): C



A 23-year-old man presented with a history of discomfort with his gender for as long as he could remember. He believed he was transsexual.
What element of further history would most strongly support his self-diagnosis?

  1. a long-standing intense wish to make his body conform to that of the preferred gender
  2. conscious and absolute rejection of his sexual orientation as socially unacceptable
  3. seeking medical rationalisation for sexuality through genital surgery
  4. sexual excitement by cross-dressing
  5. the presence of gender somatic delusions that emerge and strengthen with time

Answer(s): A



A 17-year-old boy with type 1 diabetes mellitus was admitted with diabetic ketoacidosis precipitated by a recent viral illness.
Investigations on admission:

-random plasma glucose15.0 mmol/L arterial blood gases, breathing air:
-pH7.07 (7.35–7.45)
-H+85 nmol/L (35–45)
-Investigations after initial treatment with fluids, insulin and potassium 7 h after admission: random plasma glucose4.0 mmol/L serum bicarbonate10 mmol/L (20–28)

At this stage, he was being given infusions of insulin (1 U/h) and glucose 5% (100 mL/h). What is the most appropriate next step in management?

  1. continue current regimen
  2. continue current regimen but encourage oral carbohydrate intake
  3. continue insulin infusion and change glucose to a higher concentration
  4. give intravenous sodium bicarbonate
  5. stop insulin infusion if glucose falls any further, then repeat plasma glucose in 15 min

Answer(s): C



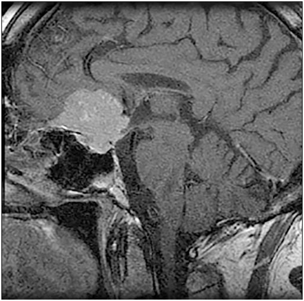
A 56-year-old man was referred urgently by an ophthalmologist after presenting with a 6-month history of deteriorating vision. The patient had a 40 pack-year smoking history. Before his vision problem, he had never visited his general practitioner.

Investigations:
-serum cortisol (09.00 h)389 nmol/L (200–700) serum testosterone8.6 nmol/L (9.0–35.0)
-plasma follicle-stimulating hormone2.1 U/L (1.0–7.0) plasma luteinising hormone2.4 U/L (1.0–10.0)
-serum prolactin896 mU/L (<360)
-serum thyroid-stimulating hormone1.4 mU/L (0.4–5.0) MR scan of pituitarysee image



What is the most likely diagnosis?

  1. craniopharyngioma
  2. meningioma
  3. non-functioning adenoma
  4. prolactinoma
  5. Rathke’s cyst

Answer(s): B



An 18-year-old man presented with delayed puberty.
On examination, he had a high arched palate. His sense of smell was intact, and he had a family history of pubertal delay. Kallman’s syndrome was suspected.

Investigations:
-serum testosterone0.3 nmol/L (9.0–35.0)
-serum follicle-stimulating hormone1.0 U/L (1.0–7.0) serum luteinising hormone1.0 U/L (1.0–10.0)
-bone age15 years

What further clinical finding would most strongly support the diagnosis of Kallman’s syndrome?

  1. bimanual synkinesia (mirror movements)
  2. eunuchoid habitus
  3. night blindness
  4. short stature
  5. testes 6 mL bilaterally

Answer(s): A



Viewing Page 7 of 41



Share your comments for MRCPUK SEND exam with other users:

DIA 10/7/2023 5:59:00 AM

is dumps still valid ?
FRANCE


Annie 7/7/2023 8:33:00 AM

thanks for this
EUROPEAN UNION


arnie 9/17/2023 6:38:00 AM

please upload questions
Anonymous


Tanuj Rana 7/22/2023 2:33:00 AM

please upload the question dump for professional machinelearning
Anonymous


Future practitioner 8/10/2023 1:26:00 PM

question 4 answer is c. this site shows the correct answer as b. "adopt a consumption model" is clearly a cost optimization design principle. looks like im done using this site to study!!!
Anonymous


Ace 8/3/2023 10:37:00 AM

number 52 answer is d
UNITED STATES


Nathan 12/17/2023 12:04:00 PM

just started preparing for my exam , and this site is so much help
Anonymous


Corey 12/29/2023 5:06:00 PM

question 35 is incorrect, the correct answer is c, it even states so: explanation: when a vm is infected with ransomware, you should not restore the vm to the infected vm. this is because the ransomware will still be present on the vm, and it will encrypt the files again. you should also not restore the vm to any vm within the companys subscription. this is because the ransomware could spread to other vms in the subscription. the best way to restore a vm that is infected with ransomware is to restore it to a new azure vm. this will ensure that the ransomware is not present on the new vm.
Anonymous


Rajender 10/18/2023 3:54:00 AM

i would like to take psm1 exam.
Anonymous


Blessious Phiri 8/14/2023 9:53:00 AM

cbd and pdb are key to the database
SOUTH AFRICA


Alkaed 10/19/2022 10:41:00 AM

the purchase and download process is very much streamlined. the xengine application is very nice and user-friendly but there is always room for improvement.
NETHERLANDS


Dave Gregen 9/4/2023 3:17:00 PM

please upload p_sapea_2023
SWEDEN


Sarah 6/13/2023 1:42:00 PM

anyone use this? the question dont seem to follow other formats and terminology i have been studying im getting worried
CANADA


Shuv 10/3/2023 8:19:00 AM

good questions
UNITED STATES


Reb974 8/5/2023 1:44:00 AM

hello are these questions valid for ms-102
CANADA


Mchal 7/20/2023 3:38:00 AM

some questions are wrongly answered but its good nonetheless
POLAND


Sonbir 8/8/2023 1:04:00 PM

how to get system serial number using intune
Anonymous


Manju 10/19/2023 1:19:00 PM

is it really helpful to pass the exam
Anonymous


LeAnne Hair 8/24/2023 12:47:00 PM

#229 in incorrect - all the customers require an annual review
UNITED STATES


Abdul SK 9/28/2023 11:42:00 PM

kindy upload
Anonymous


Aderonke 10/23/2023 12:53:00 PM

fantastic assessment on psm 1
UNITED KINGDOM


SAJI 7/20/2023 2:51:00 AM

56 question correct answer a,b
Anonymous


Raj Kumar 10/23/2023 8:52:00 PM

thank you for providing the q bank
CANADA


piyush keshari 7/7/2023 9:46:00 PM

true quesstions
Anonymous


B.A.J 11/6/2023 7:01:00 AM

i can´t believe ms asks things like this, seems to be only marketing material.
Anonymous


Guss 5/23/2023 12:28:00 PM

hi, could you please add the last update of ns0-527
Anonymous


Rond65 8/22/2023 4:39:00 PM

question #3 refers to vnet4 and vnet5. however, there is no vnet5 listed in the case study (testlet 2).
UNITED STATES


Cheers 12/13/2023 9:55:00 AM

sometimes it may be good some times it may be
GERMANY


Sumita Bose 7/21/2023 1:01:00 AM

qs 4 answer seems wrong- please check
AUSTRALIA


Amit 9/7/2023 12:53:00 AM

very detailed explanation !
HONG KONG


FisherGirl 5/16/2022 10:36:00 PM

the interactive nature of the test engine application makes the preparation process less boring.
NETHERLANDS


Chiranthaka 9/20/2023 11:15:00 AM

very useful.
Anonymous


SK 7/15/2023 3:51:00 AM

complete question dump should be made available for practice.
Anonymous


Gamerrr420 5/25/2022 9:38:00 PM

i just passed my first exam. i got 2 exam dumps as part of the 50% sale. my second exam is under work. once i write that exam i report my result. but so far i am confident.
AUSTRALIA