MRCPUK SEND Exam (page: 2)
MRCPUK SEND - Endocrinology and Diabetes (Specialty Certificate Examination)
Updated on: 12-Feb-2026

Viewing Page 2 of 41

A 42-year-old woman, with type 1 diabetes mellitus of 22 years’ duration, attended for annual review. She was using biphasic insulin twice daily and taking aspirin 75 mg, simvastatin 40 mg and ramipril 10 mg daily.
On examination, her blood pressure was 164/87 mmHg. Investigations:

-serum potassium5.9 mmol/L (3.5–4.9) serum creatinine197 µmol/L (60–110)
-estimated glomerular filtration rate (MDRD)26 mL/min/1.73 m2 (>60) haemoglobin A1c72 mmol/mol (20–42)
-urinary albumin:creatinine ratio27.0 mg/mmol (<3.5) urine culturenegative

What is the most important next step in management?

  1. add aliskiren
  2. add furosemide
  3. change to intensive insulin regimen
  4. check bicarbonate
  5. refer to a nephrologist

Answer(s): E



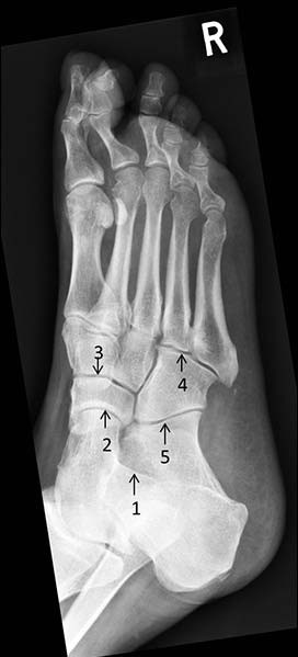
A 55-year-old man with type 2 diabetes mellitus presented with foot swelling and discomfort. He had a peripheral sensory neuropathy attributed to diabetes mellitus. A midfoot Charcot’s arthropathy was suspected, and a plain X-ray was arranged (see image).


Which is the talonavicular joint?

  1. 1
  2. 2
  3. 3
  4. 4
  5. 5

Answer(s): B



A 54-year-old woman attended clinic for routine follow-up. She had Cushing’s syndrome secondary to ectopic adrenocorticotropic hormone syndrome with no primary source identified.

She had declined bilateral adrenalectomy. Routine medication included metyrapone 500 mg three times daily, ketoconazole 200 mg once daily and hydrocortisone 10 mg in the morning and 5 mg in the evening.

Metyrapone inhibits the action of which enzyme in steroidogenesis?

  1. 3?-hydroxysteroid dehydrogenase
  2. 5?-reductase
  3. 11?-hydroxylase
  4. 17?-hydroxylase
  5. 21-hydroxylase

Answer(s): C



A 76-year-old man with a 17-year history of type 2 diabetes mellitus attended for his annual review. Comparison of his retinal screening report with the previous year’s report showed that his visual acuity was unchanged at 6/9 in both eyes. The previous year’s right eye retinal image had been reported as ‘pre- proliferative retinopathy’, whereas this year’s was reported as ‘pre-proliferative retinopathy with maculopathy’. What is the most appropriate next step?

  1. routine referral to an ophthalmologist
  2. routine re-screen in 6 months
  3. routine re-screen in 12 months
  4. urgent referral to an ophthalmologist within 2 weeks
  5. urgent re-screen within 2 weeks

Answer(s): A



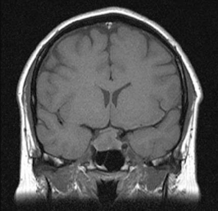
A 32-year-old woman presented to the outpatient clinic with a 1-year history of amenorrhoea that began after stopping her oral contraceptive pill. She had previously had two successful pregnancies and was otherwise well. Examination was normal and no visual field defect was present on testing to confrontation.

Investigations:
-serum sodium138 mmol/L (137–144) serum potassium3.8 mmol/L (3.5–4.9)
-plasma follicle-stimulating hormone2.0 U/L (2.5–10.0) plasma luteinising hormone2.0 U/L (2.5–10.0)
-serum prolactin1050 mU/L (<360) MR scan of pituitarysee image



What is the most appropriate treatment?

  1. bromocriptine
  2. cabergoline
  3. octreotide
  4. pituitary surgery
  5. stereotactic pituitary radiosurgery

Answer(s): D



Viewing Page 2 of 41



Share your comments for MRCPUK SEND exam with other users:

SSA 12/24/2023 1:18:00 PM

good training
Anonymous


BK 8/11/2023 12:23:00 PM

very useful
INDIA


Deepika Narayanan 7/13/2023 11:05:00 PM

yes need this exam dumps
Anonymous


Blessious Phiri 8/15/2023 3:31:00 PM

these questions are a great eye opener
Anonymous


Jagdesh 9/8/2023 8:17:00 AM

thank you for providing these questions and answers. they helped me pass my exam. you guys are great.
CANADA


TS 7/18/2023 3:32:00 PM

good knowledge
Anonymous


Asad Khan 11/1/2023 2:44:00 AM

answer 10 should be a because only a new project will be created & the organization is the same.
Anonymous


Raj 9/12/2023 3:49:00 PM

can you please upload the dump again
UNITED STATES


Christian Klein 6/23/2023 1:32:00 PM

is it legit questions from sap certifications ?
UNITED STATES


anonymous 1/12/2024 3:34:00 PM

question 16 should be b (changing the connector settings on the monitor) pc and monitor were powered on. the lights on the pc are on indicating power. the monitor is showing an error text indicating that it is receiving power too. this is a clear sign of having the wrong input selected on the monitor. thus, the "connector setting" needs to be switched from hdmi to display port on the monitor so it receives the signal from the pc, or the other way around (display port to hdmi).
UNITED STATES


NSPK 1/18/2024 10:26:00 AM

q 10. ans is d (in the target org: open deployment settings, click edit next to the source org. select allow inbound changes and save
Anonymous


mohamed abdo 9/1/2023 4:59:00 AM

very useful
Anonymous


Tom 3/18/2022 8:00:00 PM

i purchased this exam dumps from another website with way more questions but they were all invalid and outdate. this exam dumps was right to the point and all from recent exam. it was a hard pass.
UNITED KINGDOM


Edrick GOP 10/24/2023 6:00:00 AM

it was a good experience and i got 90% in the 200-901 exam.
Anonymous


anonymous 8/10/2023 2:28:00 AM

hi please upload this
Anonymous


Bakir 7/6/2023 7:24:00 AM

please upload it
UNITED KINGDOM


Aman 6/18/2023 1:27:00 PM

really need this dump. can you please help.
UNITED KINGDOM


Neela Para 1/8/2024 6:39:00 PM

really good and covers many areas explaining the answer.
NEW ZEALAND


Karan Patel 8/15/2023 12:51:00 AM

yes, can you please upload the exam?
UNITED STATES


NISHAD 11/7/2023 11:28:00 AM

how many questions are there in these dumps?
UNITED STATES


Pankaj 7/3/2023 3:57:00 AM

hi team, please upload this , i need it.
UNITED STATES


DN 9/4/2023 11:19:00 PM

question 14 - run terraform import: this is the recommended best practice for bringing manually created or destroyed resources under terraform management. you use terraform import to associate an existing resource with a terraform resource configuration. this ensures that terraform is aware of the resource, and you can subsequently manage it with terraform.
Anonymous


Zhiguang 8/19/2023 11:37:00 PM

please upload dump. thanks in advance.
Anonymous


deedee 12/23/2023 5:51:00 PM

great great
UNITED STATES


Asad Khan 11/1/2023 3:10:00 AM

answer 16 should be b your organizational policies require you to use virtual machines directly
Anonymous


Sale Danasabe 10/24/2023 5:21:00 PM

the question are kind of tricky of you didnt get the hnag on it.
Anonymous


Luis 11/16/2023 1:39:00 PM

can anyone tell me if this is for rhel8 or rhel9?
UNITED STATES


hik 1/19/2024 1:47:00 PM

good content
UNITED STATES


Blessious Phiri 8/15/2023 2:18:00 PM

pdb and cdb are critical to the database
Anonymous


Zuned 10/22/2023 4:39:00 AM

till 104 questions are free, lets see how it helps me in my exam today.
UNITED STATES


Muhammad Rawish Siddiqui 12/3/2023 12:11:00 PM

question # 56, answer is true not false.
SAUDI ARABIA


Amaresh Vashishtha 8/27/2023 1:33:00 AM

i would be requiring dumps to prepare for certification exam
Anonymous


Asad 9/8/2023 1:01:00 AM

very helpful
PAKISTAN


Blessious Phiri 8/13/2023 3:10:00 PM

control file is the heart of rman backup
Anonymous